The [KO Validated] GIT1 Antibody (CAB15437) is a high-quality antibody developed for reliable detection and analysis of target proteins. This high-quality antibody, generated in rabbits, is specifically designed for use in Western blot applications and has been validated for its reactivity with human samples.The GIT1 protein, also known as G protein-coupled receptor kinase interactor 1, is known to play a crucial role in various cellular processes such as cell adhesion, cytoskeletal rearrangement, and cell motility. It is particularly involved in the regulation of focal adhesion dynamics and integrin signaling, making it a valuable target for research in cancer biology, neurobiology, and cell biology.
This antibody is validated for use in WB, IF/ICC, ELISA applications and has demonstrated reactivity against Human, Mouse, Rat samples.
Product Name:
[KO Validated] GIT1 Antibody
SKU:
CAB15437
Size:
20μL, 100μL
Reactivity:
Human, Mouse, Rat
Conjugate:
Unconjugated
Immunogen:
Recombinant protein (or fragment).This information is considered to be commercially sensitive.
Recommended starting concentration is 1 μg/mL. Please optimize the concentration based on your specific assay requirements.
Synonyms:
p95-APP1, T1
Positive Sample:
U-251MG, A-549, A375, Mouse heart, Rat testis
Cellular Localization:
Cytoplasm.
Calculated MW:
84kDa
Observed MW:
100kDa
Enables gamma-tubulin binding activity. Involved in positive regulation of microtubule nucleation and regulation of cytokinesis. Located in several cellular components, including focal adhesion; microtubule cytoskeleton; and mitochondrion. Implicated in attention deficit hyperactivity disorder. Biomarker of Huntington's disease.
Purification Method
Affinity purification
Gene ID
28964
RRID
AB_2861717
Buffer Information
Store at -20℃. Avoid freeze / thaw cycles. Buffer: PBS with 0.01% thimerosal,50% glycerol,pH7.3.
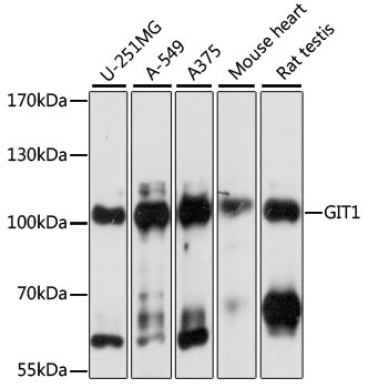
Western blot analysis of various lysates using [KO Validated] GIT1 Rabbit pAb (CAB15437) at 1:1000 dilution. Secondary antibody: HRP-conjugated Goat anti-Rabbit IgG (H+L) (CABS014) at 1:10000 dilution. Lysates/proteins: 25μg per lane. Blocking buffer: 3% nonfat dry milk in TBST. Detection: ECL Basic Kit (AbGn00020). Exposure time: 1s.
Western blot analysis of lysates from wild type (WT) and GIT1 knockout (KO) HeLa cells, using [KO Validated] GIT1 Rabbit pAb (CAB15437) at 1:3000 dilution. Secondary antibody: HRP-conjugated Goat anti-Rabbit IgG (H+L) (CABS014) at 1:10000 dilution. Lysates/proteins: 25μg per lane. Blocking buffer: 3% nonfat dry milk in TBST. Detection: ECL Basic Kit (AbGn00020). Exposure time: 1s.
Immunofluorescence analysis of L929 cells using [KO Validated] GIT1 Rabbit pAb (CAB15437) at dilution of 1:100. Secondary antibody: Cy3-conjugated Goat anti-Rabbit IgG (H+L) (CABS007) at 1:500 dilution. Blue: DAPI for nuclear staining.
Immunofluorescence analysis of U-2 OS cells using [KO Validated] GIT1 Rabbit pAb (CAB15437) at dilution of 1:100. Secondary antibody: Cy3-conjugated Goat anti-Rabbit IgG (H+L) (CABS007) at 1:500 dilution. Blue: DAPI for nuclear staining.