The [KO Validated] NDUFC2 Antibody (CAB15073) is a high-quality antibody developed for reliable detection and analysis of target proteins. This antibody, produced in rabbits, exhibits high specificity and sensitivity towards human samples, making it an ideal choice for Western blot applications. By binding to the NDUFC2 protein, this antibody enables accurate detection and analysis in a variety of cell types, facilitating studies in mitochondrial function and energy metabolism.NDUFC2 is essential for the functionality of mitochondrial complex I, the first and largest enzyme complex in the electron transport chain.
This antibody is validated for use in WB, ELISA applications and has demonstrated reactivity against Human, Mouse, Rat samples.
Product Name:
[KO Validated] NDUFC2 Antibody
SKU:
CAB15073
Size:
20μL, 100μL
Reactivity:
Human, Mouse, Rat
Conjugate:
Unconjugated
Immunogen:
Synthetic peptide. This information is considered to be commercially sensitive.
Involved in mitochondrial respiratory chain complex I assembly. Located in mitochondrion. Part of mitochondrial respiratory chain complex I. Implicated in nuclear type mitochondrial complex I deficiency.
Purification Method
Affinity purification
Gene ID
4718
RRID
AB_2861711
Buffer Information
Store at -20℃. Avoid freeze / thaw cycles. Buffer: PBS with 0.01% thimerosal,50% glycerol,pH7.3.
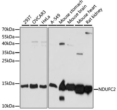
Western blot analysis of various lysates using [KO Validated] NDUFC2 Rabbit pAb (CAB15073) at 1:1000 dilution. Secondary antibody: HRP-conjugated Goat anti-Rabbit IgG (H+L) (CABS014) at 1:10000 dilution. Lysates/proteins: 25μg per lane. Blocking buffer: 3% nonfat dry milk in TBST. Detection: ECL Basic Kit (AbGn00020). Exposure time: 5s.
Western blot analysis of lysates from wild type (WT) and NDUFC2 knockout (KO) HeLa cells, using [KO Validated] NDUFC2 Rabbit pAb (CAB15073) at 1:1000 dilution. Secondary antibody: HRP-conjugated Goat anti-Rabbit IgG (H+L) (CABS014) at 1:10000 dilution. Lysates/proteins: 25μg per lane. Blocking buffer: 3% nonfat dry milk in TBST. Detection: ECL Enhanced Kit (AbGn00021). Exposure time: 3min.