The UBL3 Antibody (CAB4028) is a high-quality antibody developed for reliable detection and analysis of target proteins. Located in extracellular exosome.
This antibody is validated for use in WB, IHC-P, ELISA applications and has demonstrated reactivity against Human, Mouse, Rat samples.
Product Name:
UBL3 Antibody
SKU:
CAB4028
Size:
100μL, 20μL
Reactivity:
Human, Mouse, Rat
Conjugate:
Unconjugated
Immunogen:
Recombinant protein (or fragment).This information is considered to be commercially sensitive.
Tested Applications:
WBIHC-PELISA
Recommended Dilution:
WB
1:1000 - 1:2000
IHC-P
1:50 - 1:200
ELISA
Recommended starting concentration is 1 μg/mL. Please optimize the concentration based on your specific assay requirements.
Synonyms:
HCG-1, PNSC1, UBL3
Positive Sample:
MCF7, SW480, Mouse brain, Mouse kidney, Mouse lung, Rat brain
Cellular Localization:
Cell Membrane, Lipid-Anchor.
Calculated MW:
13kDa
Observed MW:
13kDa
Located in extracellular exosome.
Purification Method
Affinity purification
Gene ID
5412
RRID
AB_2765457
Buffer Information
Store at -20℃. Avoid freeze / thaw cycles. Buffer: PBS containing 50% glycerol, preserved with proclin300 or sodium azide, pH 7.3.
Western blot analysis of various lysates using UBL3 Rabbit pAb (CAB4028) at 1:1000 dilution. Secondary antibody: HRP-conjugated Goat anti-Rabbit IgG (H+L) (AS014) at 1:10000 dilution. Lysates/proteins: 25μg per lane. Blocking buffer: 3% nonfat dry milk in TBST. Detection: ECL Basic Kit (AbGn00020). Exposure time: 30s.
Immunohistochemistry analysis of paraffin-embedded Rat testis using UBL3 Rabbit pAb (CAB4028) at dilution of 1:100 (40x lens). Microwave antigen retrieval performed with 0.01M PBS Buffer (pH 7.2) prior to IHC staining.
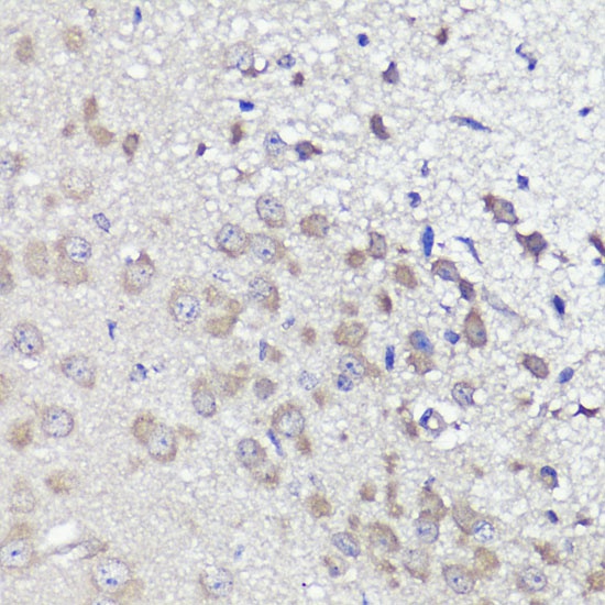
Immunohistochemistry analysis of paraffin-embedded Mouse brain using UBL3 Rabbit pAb (CAB4028) at dilution of 1:100 (40x lens). Microwave antigen retrieval performed with 0.01M PBS Buffer (pH 7.2) prior to IHC staining.