The UQCRC2 Antibody (CAB4181) is a high-quality antibody developed for reliable detection and analysis of target proteins. This antibody, generated in rabbits, exhibits high reactivity with human samples and is validated for use in Western blot applications. By binding to the UQCRC2 protein, this antibody enables accurate detection and analysis in various cell types, making it well-suited for research in biochemistry and mitochondrial biology.UQCRC2 plays a critical role in electron transfer and ATP production within the mitochondria, making it essential for cellular energy metabolism.
This antibody is validated for use in WB, IHC-P, IF/ICC, IP, ELISA applications and has demonstrated reactivity against Human, Mouse, Rat samples.
Product Name:
UQCRC2 Antibody
SKU:
CAB4181
Size:
20μL, 100μL
Reactivity:
Human, Mouse, Rat
Conjugate:
Unconjugated
Immunogen:
Recombinant protein (or fragment).This information is considered to be commercially sensitive.
The protein encoded by this gene is located in the mitochondrion, where it is part of the ubiquinol-cytochrome c reductase complex (also known as complex III). This complex constitutes a part of the mitochondrial respiratory chain. Defects in this gene are a cause of mitochondrial complex III deficiency nuclear type 5.
Purification Method
Affinity purification
Gene ID
7385
RRID
AB_2765543
Buffer Information
Store at -20℃. Avoid freeze / thaw cycles. Buffer: PBS containing 50% glycerol, preserved with proclin300 or sodium azide, pH 7.3.
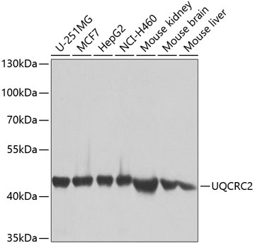
Western blot analysis of various lysates using UQCRC2 Rabbit pAb (CAB4181) at 1:1000 dilution. Secondary antibody: HRP-conjugated Goat anti-Rabbit IgG (H+L) (CABS014) at 1:10000 dilution. Lysates/proteins: 25μg per lane. Blocking buffer: 3% nonfat dry milk in TBST. Detection: ECL Basic Kit (AbGn00020). Exposure time: 1s.
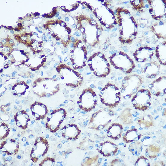
Immunohistochemistry analysis of paraffin-embedded Rat kidney using UQCRC2 Rabbit pAb (CAB4181) at dilution of 1:100 (40x lens). Microwave antigen retrieval performed with 0.01M Tris/EDTA Buffer (pH 9.0) prior to IHC staining.
Immunoprecipitation analysis of 200 μg extracts of HepG2 cells using 1 μg UQCRC2 antibody (CAB4181). Western blot was performed from the immunoprecipitate using UQCRC2 antibody (CAB4181) at a dilution of 1:1000.