The PPCDC Antibody (PAC059860) is a polyclonal antibody designed for research involving the PPCDC protein, which plays a crucial role in the biosynthesis of coenzyme A. This antibody, raised in rabbits, exhibits high reactivity with human samples and is validated for use in various applications, including Western blot and immunohistochemistry. It specifically binds to the PPCDC protein, allowing for its detection and analysis in different cell types.The PPCDC protein is essential for the production of coenzyme A, a molecule important for numerous metabolic processes in the body. Dysregulation of PPCDC has been linked to various diseases, making it a promising target for research in metabolic disorders, cancer, and neurodegenerative diseases.
Understanding the role of PPCDC in these conditions can provide valuable insights for the development of potential therapeutic interventions.Overall, the PPCDC Antibody is a valuable tool for researchers studying the function and regulation of the PPCDC protein in various physiological and pathological contexts. Its high specificity and sensitivity make it ideal for advancing research in biochemistry, metabolism, and disease mechanisms.
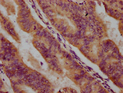
IHC image of PACO59860 diluted at 1:500 and staining in paraffin-embedded human endometrial cancer performed on a Leica BondTM system. After dewaxing and hydration, antigen retrieval was mediated by high pressure in a citrate buffer (pH 6.0). Section was blocked with 10% normal goat serum 30min at RT. Then primary antibody (1% BSA) was incubated at 4°C overnight. The primary is detected by a biotinylated secondary antibody and visualized using an HRP conjugated SP system.
Immunofluorescence staining of A549 cells with PACO59860 at 1:166, counter-stained with DAPI. The cells were fixed in 4% formaldehyde, permeabilized using 0.2% Triton X-100 and blocked in 10% normal Goat Serum. The cells were then incubated with the antibody overnight at 4°C. The secondary antibody was Alexa Fluor 488-congugated AffiniPure Goat Anti-Rabbit IgG(H+L).
Background:
Necessary for the biosynthesis of coenzyme A. Catalyzes the decarboxylation of 4-phosphopantothenoylcysteine to form 4'-phosphopantotheine.
PPCDC: Necessary for the biosynthesis of coenzyme A. Catalyzes the decarboxylation of 4-phosphopantothenoylcysteine to form 4'- phosphopantotheine. Belongs to the HFCD (homooligomeric flavin containing Cys decarboxylase) superfamily. 2 isoforms of the human protein are produced by alternative splicing.Protein type: EC 4.1.1.36; Lyase; Cofactor and Vitamin Metabolism - pantothenate and CoA biosynthesisChromosomal Location of Human Ortholog: 15q24.2Cellular Component: cytosolMolecular Function: phosphopantothenoylcysteine decarboxylase activity; protein bindingBiological Process: coenzyme A biosynthetic process; coenzyme biosynthetic process
UniProt Protein Details:
NCBI Summary:
Biosynthesis of coenzyme A (CoA) from pantothenic acid (vitamin B5) is an essential universal pathway in prokaryotes and eukaryotes. PPCDC (EC 4.1.1.36), one of the last enzymes in this pathway, converts phosphopantothenoylcysteine to 4-prime-phosphopantetheine (Daugherty et al., 2002 [PubMed 11923312]).[supplied by OMIM, Mar 2008]