VSTM2L Antibody is a premium polyclonal that offers outstanding performance and reliability for demanding research applications. Rigorously validated for ELISA, IHC, this antibody ensures consistent, reproducible results across multiple experimental platforms. Demonstrates excellent reactivity with Human samples, providing researchers with confidence in cross-species compatibility. Conveniently packaged in 50ul format to meet your experimental needs. For optimal performance, store at -20°C or -80°C and maintains stability for 12 months. Backed by rigorous quality control testing to ensure superior performance in your critical research applications.
Product Name:
VSTM2L Antibody
SKU:
PACO63463
Size:
50μl
Isotype:
IgG
Host Species:
Rabbit
Reactivity:
Human
Immunogen:
Recombinant Human V-set and transmembrane domain-containing protein 2-like protein (25-204AA)
Immunogen Species:
Homo sapiens (Human)
Uniprot No:
Q96N03
Form:
Liquid
Tested Applications:
ELISAIHC
Recommended Dilution:
Application
Recommended Dilution
IHC
1:20-1:200
Synonyms:
C20orf102 antibody, dJ1118M15.2 antibody, Uncharacterized protein C20orf102 precursor antibody, V set and transmembrane domain containing 2 like antibody, V set and transmembrane domain containing protein 2 like protein antibody, V-set and transmembrane domain-containing protein 2-like protein antibody, VSTM 2L antibody, Vstm2l antibody, VTM2L_HUMAN antibody
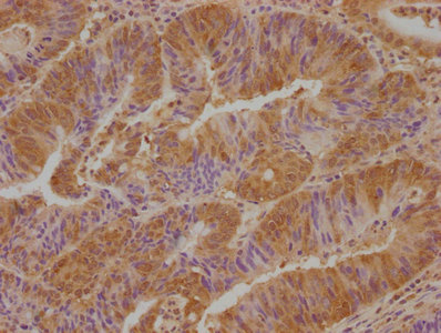
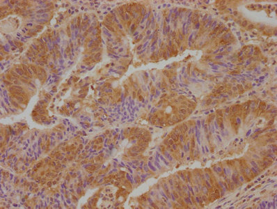
IHC image of PACO63463 diluted at 1:100 and staining in paraffin-embedded human colon cancer performed on a Leica BondTM system. After dewaxing and hydration, antigen retrieval was mediated by high pressure in a citrate buffer (pH 6.0). Section was blocked with 10% normal goat serum 30min at RT. Then primary antibody (1% BSA) was incubated at 4°C overnight. The primary is detected by a biotinylated secondary antibody and visualized using an HRP conjugated SP system.