The TriMethyl-Histone H3-K36 Monoclonal Antibody (CAB20379) is a high-quality antibody developed for reliable detection and analysis of target proteins. Histones are basic nuclear proteins that are responsible for the nucleosome structure of the chromosomal fiber in eukaryotes. Nucleosomes consist of approximately 146 bp of DNA wrapped around a histone octamer composed of pairs of each of the four core histones (H2A, H2B, H3, and H4). The chromatin fiber is further compacted through the interaction of a linker histone, H1, with the DNA between the nucleosomes to form higher order chromatin structures. This gene is intronless and encodes a replication-dependent histone that is a member of the histone H3 family. Transcripts from this gene lack polyA tails; instead, they contain a palindromic termination element. This gene is located separately from the other H3 genes that are in the histone gene cluster on chromosome 6p22-p21.3. RRID Gene ID 8290 8350 Swiss Prot Synonym H3.4; H3/g; H3FT; H3t; HIST3H3; Histone H3; HIST1H3A; TriMethyl-Histone H3-K36
This antibody is validated for use in WB, IHC-P, IP, ChIP, ChIP-seq, ELISA, DB applications and has demonstrated reactivity against Human, Mouse, Rat, Other (Wide Range Predicted) samples.
Product Name:
TriMethyl-Histone H3-K36 Monoclonal Antibody
SKU:
CAB20379
Size:
100μL, 20μL
Reactivity:
Human, Mouse, Rat, Other (Wide Range Predicted)
Clone Number:
ARC50050
Conjugate:
Unconjugated
Immunogen:
Synthetic peptide. This information is considered to be commercially sensitive.
Tested Applications:
WBIHC-PIPChIPChIP-seqELISADB
Recommended Dilution:
WB
1:1000 - 1:6000
DB
1:500 - 1:1000
IHC-P
1:2000 - 1:8000
IP
0.5μg-4μg antibody for 200μg-400μg extracts of whole cells
ELISA
Recommended starting concentration is 1 μg/mL. Please optimize the concentration based on your specific assay
Histones are basic nuclear proteins that are responsible for the nucleosome structure of the chromosomal fiber in eukaryotes. Nucleosomes consist of approximately 146 bp of DNA wrapped around a histone octamer composed of pairs of each of the four core histones (H2A, H2B, H3, and H4). The chromatin fiber is further compacted through the interaction of a linker histone, H1, with the DNA between the nucleosomes to form higher order chromatin structures. This gene is intronless and encodes a replication-dependent histone that is a member of the histone H3 family. Transcripts from this gene lack polyA tails; instead, they contain a palindromic termination element. This gene is located separately from the other H3 genes that are in the histone gene cluster on chromosome 6p22-p21.3. RRID Gene ID 8290 8350 Swiss Prot Synonym H3.4; H3/g; H3FT; H3t; HIST3H3; Histone H3; HIST1H3A; TriMethyl-Histone H3-K36
Purification Method:
Affinity purification
Gene ID:
8290 8350
RRID:
-
Buffer Information:
Store at -20℃. Avoid freeze / thaw cycles. Buffer: PBS containing 50% glycerol and 0.05% BSA, preserved with proclin300 or sodium azide, pH 7.3.
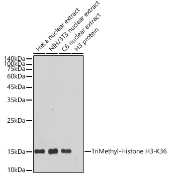
Western blot analysis of various lysates using TriMethyl-Histone H3-K36 Rabbit mAb (CAB20379) at 1:1000 dilution. Secondary antibody: HRP-conjugated Goat anti-Rabbit IgG (H+L) (AS014) at 1:10000 dilution. Lysates/proteins: 25μg per lane. Blocking buffer: 3% nonfat dry milk in TBST. Detection: ECL Basic Kit (AbGn00020). Exposure time: 10s.
Dot-blot analysis of all sorts of peptides using TriMethyl-Histone H3-K36 antibody (CAB20379) at 1:1000 dilution.
Immunohistochemistry analysis of paraffin-embedded Rat colon tissue using TriMethyl-Histone H3-K36 Rabbit mAb (CAB20379) at a dilution of 1:5000 (40x lens). High pressure antigen retrieval performed with 0.01M Tris-EDTA Buffer (pH 9.0) prior to IHC staining.
Immunohistochemistry analysis of paraffin-embedded Human colon tissue using TriMethyl-Histone H3-K36 Rabbit mAb (CAB20379) at a dilution of 1:5000 (40x lens). High pressure antigen retrieval performed with 0.01M Tris-EDTA Buffer (pH 9.0) prior to IHC staining.
Immunohistochemistry analysis of paraffin-embedded Human placenta tissue using TriMethyl-Histone H3-K36 Rabbit mAb (CAB20379) at a dilution of 1:5000 (40x lens). High pressure antigen retrieval performed with 0.01M Tris-EDTA Buffer (pH 9.0) prior to IHC staining.
Immunohistochemistry analysis of paraffin-embedded Rat lung tissue using TriMethyl-Histone H3-K36 Rabbit mAb (CAB20379) at a dilution of 1:5000 (40x lens). High pressure antigen retrieval performed with 0.01M Tris-EDTA Buffer (pH 9.0) prior to IHC staining.
Immunoprecipitation analysis of 600 μg extracts of 293F cells using 5 μg TriMethyl-Histone H3-K36 antibody (CAB20379). Western blot was performed from the immunoprecipitate using TriMethyl-Histone H3-K36 antibody (CAB20379) at a dilution of 1:1000.
Chromatin immunoprecipitations were performed with cross-linked chromatin from HeLa cells and H3K36me3 Rabbit mAb (CAB20379). The ChIP sequencing results indicate the enrichment pattern of H3K36me3 in selected genomic region and representative gene loci (GAPDH), as shown in figure.