Description
C22orf39 Antibody (PACO64621)
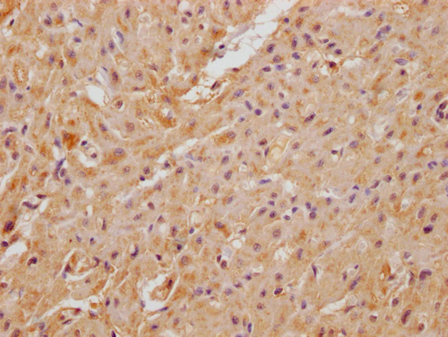
The C22orf39 Polyclonal Antibody (PACO64621) is a valuable tool for researchers studying C22orf39, a protein with potential involvement in cell signaling pathways. The antibody, produced in rabbits, exhibits high specificity for human samples and has been verified for use in Western blotting experiments. By binding to the C22orf39 protein, this antibody enables accurate detection and analysis in a variety of cell types, making it suitable for investigations in molecular biology and biochemical research.C22orf39, also referred to as a putative uncharacterized protein, is believed to play a role in cellular functions such as signal transduction or gene regulation.
Its exact functions and mechanisms of action remain to be fully elucidated, presenting an exciting area for exploration in scientific research. By studying the properties and functions of C22orf39, researchers can gain valuable insights into its potential role in various biological processes, paving the way for new discoveries and advancements in the field of molecular biology.
Product Name: | C22orf39 Antibody |
Product Code: | PACO64621 |
Size: | 50µL |
Target Names: | C22orf39 |
Species Reactivity: | Human |
Host Species: | Rabbit |
Antigen Species: | Human |
Tested Applications: | ELISA, IHC; Recommended dilution: IHC:1:100-1:500 |
Isotype: | IgG |
Clone ID: | N/A |
Conjugate: | Non-conjugated |
Clonality: | Polyclonal |
Antigen: | Recombinant Human UPF0545 protein C22orf39 protein (1-142aa) |
Form: | Liquid |
Buffer: | Preservative: 0.03% Proclin 300 Constituents: 50% Glycerol, 0.01M PBS, pH 7.4 |
Purification Method: | >95%, Protein G purified |
Storage: | Upon receipt, store at -20°C or -80°C. Avoid repeated freeze. |
Aliases: | UPF0545 protein C22orf39, C22orf39 |
Uniprot ID: | Q6P5X5 |
Background: | |
Research Area: | Cell Biology |