CXorf36 Antibody is a premium polyclonal that offers outstanding performance and reliability for demanding research applications. Rigorously validated for ELISA, WB, IHC, this antibody ensures consistent, reproducible results across multiple experimental platforms. Demonstrates excellent reactivity with Human samples, providing researchers with confidence in cross-species compatibility. Conveniently packaged in 50ug format to meet your experimental needs. For optimal performance, store at -20°C or -80°C and maintains stability for 12 months. Backed by rigorous quality control testing to ensure superior performance in your critical research applications.
Product Name:
CXorf36 Antibody
SKU:
PACO60416
Size:
50μg
Isotype:
IgG
Host Species:
Rabbit
Reactivity:
Human
Immunogen:
Recombinant Human Deleted in autism-related protein 1 protein (311-405AA)
Immunogen Species:
Homo sapiens (Human)
Uniprot No:
Q9H7Y0
Form:
Liquid
Tested Applications:
ELISAWBIHC
Recommended Dilution:
Application
Recommended Dilution
WB
1:500-1:5000
IHC
1:200-1:500
Synonyms:
DIPK2B antibody, CXorf36 antibody, DIA1R antibody, UNQ1862/PRO3743Divergent protein kinase domain 2B antibody, Deleted in autism-related protein 1 antibody
Western Blot Positive WB detected in: HepG2 whole cell lysate, SH-SY5Y whole cell lysate, PC-3 whole cell lysate All lanes: CXorf36 antibody at 3.9µg/ml Secondary Goat polyclonal to rabbit IgG at 1/50000 dilution Predicted band size: 49, 21 kDa Observed band size: 49 kDa
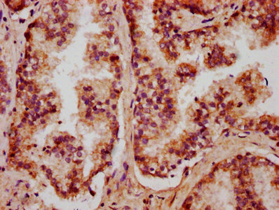
IHC image of PACO60416 diluted at 1:400 and staining in paraffin-embedded human prostate cancer performed on a Leica BondTM system. After dewaxing and hydration, antigen retrieval was mediated by high pressure in a citrate buffer (pH 6.0). Section was blocked with 10% normal goat serum 30min at RT. Then primary antibody (1% BSA) was incubated at 4°C overnight. The primary is detected by a biotinylated secondary antibody and visualized using an HRP conjugated SP system.
IHC image of PACO60416 diluted at 1:400 and staining in paraffin-embedded human endometrial cancer performed on a Leica BondTM system. After dewaxing and hydration, antigen retrieval was mediated by high pressure in a citrate buffer (pH 6.0). Section was blocked with 10% normal goat serum 30min at RT. Then primary antibody (1% BSA) was incubated at 4°C overnight. The primary is detected by a biotinylated secondary antibody and visualized using an HRP conjugated SP system.