The FAM134B Polyclonal Antibody (PAC049302) is a crucial tool for researchers studying FAM134B, a protein involved in regulating autophagy and endoplasmic reticulum homeostasis. This polyclonal antibody is produced in rabbits and exhibits high reactivity with human samples, making it ideal for use in Western blot applications. By targeting the FAM134B protein, this antibody enables accurate detection and analysis in various cell types, making it essential for research in the fields of cell biology and disease pathology.FAM134B, also known as family with sequence similarity 134, member B, plays a key role in maintaining cellular homeostasis by facilitating the removal of damaged organelles through the autophagy pathway.
Dysregulation of FAM134B has been implicated in diseases such as neurodegenerative disorders, cancer, and metabolic conditions. By studying the function of FAM134B using this polyclonal antibody, researchers can unlock valuable insights into disease mechanisms and develop targeted therapies to address these conditions effectively.
Antibody Name:
FAM134B Antibody (PACO49302)
Antibody SKU:
PACO49302
Size:
50ug
Host Species:
Rabbit
Tested Applications:
ELISA, IHC
Recommended Dilutions:
ELISA:1:2000-1:10000, IHC:1:20-1:200
Species Reactivity:
Human
Immunogen:
Recombinant Human Reticulophagy receptor FAM134B protein (1-131AA)
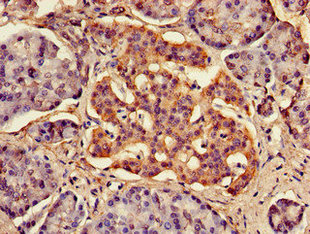
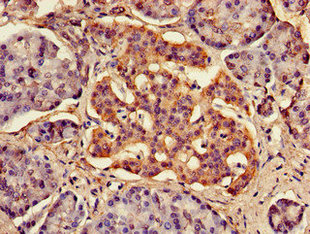
Immunohistochemistry of paraffin-embedded human pancreatic tissue using PACO49302 at dilution of 1:100.
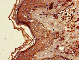
Immunohistochemistry of paraffin-embedded human skin tissue using PACO49302 at dilution of 1:100.
Background:
Endoplasmic reticulum-anchored autophagy receptor that mediates ER delivery into lysosomes through sequestration into autophagosomes. Promotes membrane remodeling and ER scission via its membrane bending capacity and targets the fragments into autophagosomes via interaction with ATG8 family proteins. Required for long-term survival of nociceptive and autonomic ganglion neurons.
The protein encoded by this gene is a cis-Golgi transmembrane protein that may be necessary for the long-term survival of nociceptive and autonomic ganglion neurons. Mutations in this gene are a cause of hereditary sensory and autonomic neuropathy type IIB (HSAN IIB), and this gene may also play a role in susceptibility to vascular dementia. Alternatively spliced transcript variants encoding multiple isoforms have been observed for this gene. [provided by RefSeq, Nov 2011]