The Hemopexin (HPX) Monoclonal Antibody (CAB9133) is a high-quality antibody developed for reliable detection and analysis of target proteins. This antibody, generated in rabbits, is highly specific for human samples and has been validated for use in various applications, including Western blotting.Hemopexin plays a crucial role in preventing the toxic effects of free heme, a byproduct of hemoglobin breakdown, by binding to heme and facilitating its clearance from the body. Dysregulation of hemopexin has been implicated in several diseases, including hemolytic disorders and inflammatory conditions.
This antibody is validated for use in WB, IHC-P, ELISA, IF-P applications and has demonstrated reactivity against Human, Rat samples.
Product Name:
Hemopexin (HPX) Monoclonal Antibody
SKU:
CAB9133
Size:
20μL, 100μL
Reactivity:
Human, Rat
Clone Number:
ARC1444
Conjugate:
Unconjugated
Immunogen:
Synthetic peptide. This information is considered to be commercially sensitive.
Recommended starting concentration is 1 μg/mL. Please optimize the concentration based on your specific assay requirements.
Synonyms:
HX, Hemopexin (HPX)
Positive Sample:
Human serum
Cellular Localization:
Secreted.
Calculated MW:
52kDa
Observed MW:
70kDa
This gene encodes a plasma glycoprotein that binds heme with high affinity. The encoded protein is an acute phase protein that transports heme from the plasma to the liver and may be involved in protecting cells from oxidative stress.
Purification Method
Affinity purification
Gene ID
3263
RRID
AB_2863665
Buffer Information
Store at -20℃. Avoid freeze / thaw cycles. Buffer: PBS containing 50% glycerol and 0.05% BSA, preserved with proclin300 or sodium azide, pH 7.3.
Western blot analysis of lysates from Human serum, using Hemopexin (HPX) (HPX) Rabbit mAb (CAB9133) at 1:5000 dilution. Secondary antibody: HRP-conjugated Goat anti-Rabbit IgG (H+L) (CABS014) at 1:10000 dilution. Lysates/proteins: 25μg per lane. Blocking buffer: 3% nonfat dry milk in TBST. Detection: ECL Basic Kit (AbGn00020). Exposure time: 1s.
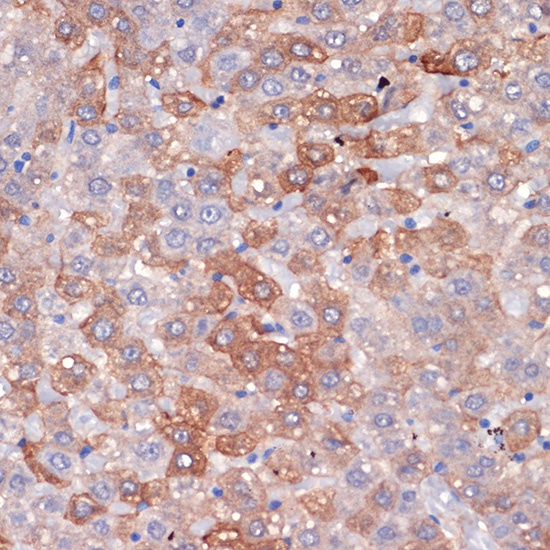
Immunohistochemistry analysis of paraffin-embedded Rat liver using Hemopexin (HPX) (HPX) Rabbit mAb (CAB9133) at dilution of 1:100 (40x lens). Microwave antigen retrieval performed with 0.01M Tris/EDTA Buffer (pH 9.0) prior to IHC staining.
Confocal imaging of paraffin-embedded Human liver using Hemopexin (HPX) Rabbit mAb (CAB9133, dilution 1:200) followed by a further incubation with Cy3 Goat Anti-Rabbit IgG (H+L) (CABS007, dilution 1:500) (Red). DAPI was used for nuclear staining (Blue). Objective: 40x. Perform high pressure antigen retrieval with 0.01 M citrate buffer (pH 6.0) prior to IF staining.