The JNK3 Monoclonal Antibody (CAB19075) is a high-quality antibody developed for reliable detection and analysis of target proteins. This antibody, produced in mice, is highly specific to JNK3 and has been validated for use in applications such as immunofluorescence and flow cytometry.JNK3 is a member of the JNK family of proteins, known for their role in responding to various stress signals and influencing cell fate decisions. With its unique specificity for JNK3, this monoclonal antibody enables precise detection and analysis of JNK3 expression and activity in different cell types, providing researchers with valuable insights into the function of this important kinase.
This antibody is validated for use in WB, ELISA applications and has demonstrated reactivity against Human, Mouse, Rat samples.
Product Name:
JNK3 Monoclonal Antibody
SKU:
CAB19075
Size:
20μL, 100μL
Reactivity:
Human, Mouse, Rat
Clone Number:
ARC0366
Conjugate:
Unconjugated
Immunogen:
Synthetic peptide. This information is considered to be commercially sensitive.
The protein encoded by this gene is a member of the MAP kinase family. MAP kinases act as integration points for multiple biochemical signals, and thus are involved in a wide variety of cellular processes, such as proliferation, differentiation, transcription regulation and development. This kinase is specifically expressed in a subset of neurons in the nervous system, and is activated by threonine and tyrosine phosphorylation. Targeted deletion of this gene in mice suggests that it may have a role in stress-induced neuronal apoptosis. Alternatively spliced transcript variants encoding different isoforms have been described for this gene. A recent study provided evidence for translational readthrough in this gene, and expression of an additional C-terminally extended isoform via the use of an alternative in-frame translation termination codon.
Purification Method
Affinity purification
Gene ID
5602
RRID
AB_2862567
Buffer Information
Store at -20℃. Avoid freeze / thaw cycles. Buffer: PBS containing 50% glycerol and 0.05% BSA, preserved with proclin300 or sodium azide, pH 7.3.
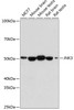
Western blot analysis of various lysates,using JNK3 Rabbit mAb (CAB19075) at 1:1000 dilution. Secondary antibody: HRP-conjugated Goat anti-Rabbit IgG (H+L) (CABS014) at 1:10000 dilution. Lysates/proteins: 25 μg per lane. Blocking buffer: 3% nonfat dry milk in TBST. Detection: ECL Enhanced Kit (AbGn00021). Exposure time: 180 s.