The Transferrin Monoclonal Antibody (CAB19130) is a high-quality antibody developed for reliable detection and analysis of target proteins. This antibody, generated using rabbit monoclonal technology, demonstrates high specificity and sensitivity for detecting Transferrin in a variety of samples.Transferrin plays a crucial role in the binding and transport of iron in the blood, making it essential for numerous physiological processes such as erythropoiesis and cellular growth. Dysregulation of Transferrin expression has been implicated in various diseases, including iron overload disorders and certain types of cancer.This antibody is validated for use in techniques such as Western blotting and immunohistochemistry, making it a versatile tool for researchers studying Transferrin in both basic science and clinical settings.
This antibody is validated for use in WB, IHC-P, ELISA applications and has demonstrated reactivity against Human samples.
Product Name:
Transferrin Monoclonal Antibody
SKU:
CAB19130
Size:
20μL, 100μL
Reactivity:
Human
Clone Number:
ARC0338
Conjugate:
Unconjugated
Immunogen:
Synthetic peptide. This information is considered to be commercially sensitive.
Recommended starting concentration is 1 μg/mL. Please optimize the concentration based on your specific assay requirements.
Synonyms:
TFQTL1, PRO1557, PRO2086, HEL-S-71p, Transferrin
Positive Sample:
Hep G2 treated with BFA
Cellular Localization:
Secreted.
Calculated MW:
77kDa
Observed MW:
77kDa
This gene encodes a glycoprotein with an approximate molecular weight of 76.5 kDa. It is thought to have been created as a result of an ancient gene duplication event that led to generation of homologous C and N-terminal domains each of which binds one ion of ferric iron. The function of this protein is to transport iron from the intestine, reticuloendothelial system, and liver parenchymal cells to all proliferating cells in the body. This protein may also have a physiologic role as granulocyte/pollen-binding protein (GPBP) involved in the removal of certain organic matter and allergens from serum.
Purification Method
Affinity purification
Gene ID
7018
RRID
AB_2862623
Buffer Information
Store at -20℃. Avoid freeze / thaw cycles. Buffer: PBS containing 50% glycerol and 0.05% BSA, preserved with proclin300 or sodium azide, pH 7.3.
Western blot analysis of lysates from Hep G2 cells using Transferrin Rabbit mAb (CAB19130) at 1:1000 dilution incubated overnight at 4℃. Hep G2 cells were treated with BFA (30 ng/mL) at 37℃ for 1.5 hours. Secondary antibody: HRP-conjugated Goat anti-Rabbit IgG (H+L) (CABS014) at 1:10000 dilution. Lysates/proteins: 30 μg per lane. Blocking buffer: 3 % nonfat dry milk in TBST. Detection: ECL Basic Kit (AbGn00020). Exposure time: 180s.
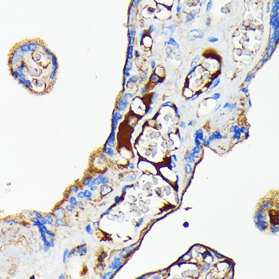
Immunohistochemistry analysis of paraffin-embedded Human placenta using Transferrin Rabbit mAb (CAB19130) at dilution of 1:100 (40x lens). Microwave antigen retrieval performed with 0.01M PBS Buffer (pH 7.2) prior to IHC staining.