The Fibrinogen alpha chain (FGA) Monoclonal Antibody (CAB19658) is a high-quality antibody developed for reliable detection and analysis of target proteins. This antibody is raised in rabbits and has been validated for use in various applications, including Western blot and immunohistochemistry. It specifically targets the FGA protein, allowing for precise detection and analysis in human samples.Fibrinogen is essential for hemostasis and wound healing, making it a crucial target for studies in cardiovascular disease, thrombosis, and inflammation.
This antibody is validated for use in WB, IHC-P, ELISA applications and has demonstrated reactivity against Rat samples.
Product Name:
Fibrinogen alpha chain (FGA) Monoclonal Antibody
SKU:
CAB19658
Size:
20μL, 100μL
Reactivity:
Rat
Clone Number:
ARC2227
Conjugate:
Unconjugated
Immunogen:
Synthetic peptide. This information is considered to be commercially sensitive.
This gene encodes the alpha subunit of the coagulation factor fibrinogen, which is a component of the blood clot. Following vascular injury, the encoded preproprotein is proteolytically processed by thrombin during the conversion of fibrinogen to fibrin. Mutations in this gene lead to several disorders, including dysfibrinogenemia, hypofibrinogenemia, afibrinogenemia and renal amyloidosis. Alternative splicing results in multiple transcript variants, at least one of which encodes an isoform that undergoes proteolytic processing.
Purification Method
Affinity purification
Gene ID
2243
Buffer Information
Store at -20℃. Avoid freeze / thaw cycles. Buffer: PBS containing 50% glycerol and 0.05% BSA, preserved with proclin300 or sodium azide, pH 7.3.
Western blot analysis of various lysates using Fibrinogen alpha chain (FGA) (FGA) Rabbit mAb (CAB19658) at 1:1000 dilution. Secondary antibody: HRP-conjugated Goat anti-Rabbit IgG (H+L) (CABS014) at 1:10000 dilution. Lysates/proteins: 25μg per lane. Blocking buffer: 3% nonfat dry milk in TBST. Detection: ECL Basic Kit (AbGn00020). Exposure time: 180s.
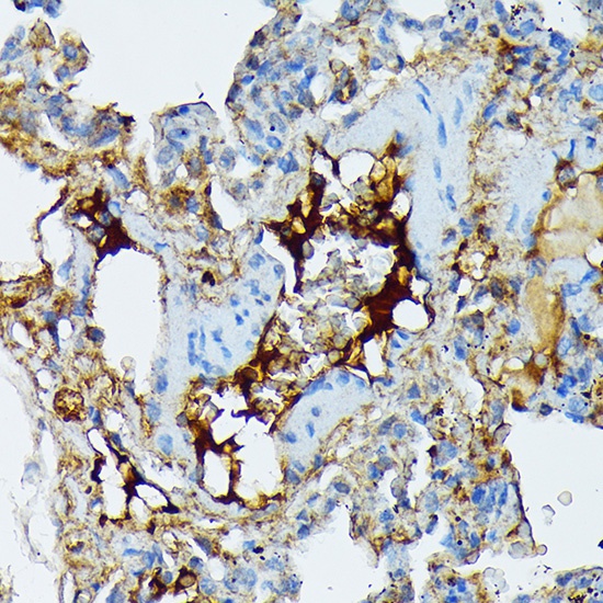
Immunohistochemistry analysis of paraffin-embedded Rat lung using Fibrinogen alpha chain (FGA) (FGA) Rabbit mAb (CAB19658) at dilution of 1:100 (40x lens). Microwave antigen retrieval performed with 0.01M Tris/EDTA Buffer (pH 9.0) prior to IHC staining.