The HLA-DRB1 Monoclonal Antibody (CAB19835) is a high-quality antibody developed for reliable detection and analysis of target proteins. HLA-DRB1 belongs to the HLA class II beta chain paralogs. The class II molecule is a heterodimer consisting of an alpha (DRA) and a beta chain (DRB), both anchored in the membrane. It plays a central role in the immune system by presenting peptides derived from extracellular proteins. Class II molecules are expressed in antigen presenting cells. The beta chain is approximately 26-28 kDa. It is encoded by 6 exons. Exon one encodes the leader peptide; exons 2 and 3 encode the two extracellular domains; exon 4 encodes the transmembrane domain; and exon 5 encodes the cytoplasmic tail. Within the DR molecule the beta chain contains all the polymorphisms specifying the peptide binding specificities. Hundreds of DRB1 alleles have been described and some alleles have increased frequencies associated with certain diseases or conditions. For example, DRB1*1302 has been related to acute and chronic hepatitis B virus persistence. There are multiple pseudogenes of this gene.
This antibody is validated for use in WB, IHC-P, ELISA applications and has demonstrated reactivity against Human samples.
Product Name:
HLA-DRB1 Monoclonal Antibody
SKU:
CAB19835
Size:
100μL, 20μL
Reactivity:
Human
Clone Number:
ARC2360
Conjugate:
Unconjugated
Immunogen:
Synthetic peptide. This information is considered to be commercially sensitive.
Tested Applications:
WBIHC-PELISA
Recommended Dilution:
WB
1:500 - 1:1000
IHC-P
1:50 - 1:200
ELISA
Recommended starting concentration is 1 μg/mL. Please optimize the concentration based on your specific assay requirements.
Synonyms:
SS1, DRB1, HLA-DRB, HLA-DR1B, HLA-DRB1
Positive Sample:
Raji
Cellular Localization:
Cell Surface, External Side Of Plasma Membrane, Extracellular Exosome, Extracellular Space, Immunological Synapse, Plasma Membrane.
Calculated MW:
30kDa
Observed MW:
35kDa
HLA-DRB1 belongs to the HLA class II beta chain paralogs. The class II molecule is a heterodimer consisting of an alpha (DRA) and a beta chain (DRB), both anchored in the membrane. It plays a central role in the immune system by presenting peptides derived from extracellular proteins. Class II molecules are expressed in antigen presenting cells. The beta chain is approximately 26-28 kDa. It is encoded by 6 exons. Exon one encodes the leader peptide; exons 2 and 3 encode the two extracellular domains; exon 4 encodes the transmembrane domain; and exon 5 encodes the cytoplasmic tail. Within the DR molecule the beta chain contains all the polymorphisms specifying the peptide binding specificities. Hundreds of DRB1 alleles have been described and some alleles have increased frequencies associated with certain diseases or conditions. For example, DRB1*1302 has been related to acute and chronic hepatitis B virus persistence. There are multiple pseudogenes of this gene.
Purification Method
Affinity purification
Gene ID
3123
Buffer Information
Store at -20℃. Avoid freeze / thaw cycles. Buffer: PBS containing 50% glycerol and 0.05% BSA, preserved with proclin300 or sodium azide, pH 7.3.
Western blot analysis of various lysates using HLA-DRB1 Rabbit mAb (CAB19835) at 1:1000 dilution. Secondary antibody: HRP-conjugated Goat anti-Rabbit IgG (H+L) (AS014) at 1:10000 dilution. Lysates/proteins: 25μg per lane. Blocking buffer: 3% nonfat dry milk in TBST. Detection: ECL Basic Kit (AbGn00020). Exposure time: 10s.
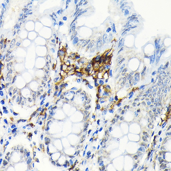
Immunohistochemistry analysis of paraffin-embedded Human colon using HLA-DRB1 Rabbit mAb (CAB19835) at dilution of 1:100 (40x lens). Microwave antigen retrieval performed with 0.01M Tris/EDTA Buffer (pH 9.0) prior to IHC staining.