The ARID1B Antibody (CAB15488) is a high-quality antibody developed for reliable detection and analysis of target proteins. This locus encodes an AT-rich DNA interacting domain-containing protein. The encoded protein is a component of the SWI/SNF chromatin remodeling complex and may play a role in cell-cycle activation. The protein encoded by this locus is similar to AT-rich interactive domain-containing protein 1A. These two proteins function as alternative, mutually exclusive ARID-subunits of the SWI/SNF complex. The associated complexes play opposing roles. Alternative splicing results in multiple transcript variants.
This antibody is validated for use in WB, IHC-P, IF/ICC, ELISA applications and has demonstrated reactivity against Human, Mouse, Rat samples.
Product Name:
ARID1B Antibody
SKU:
CAB15488
Size:
100μL, 20μL
Reactivity:
Human, Mouse, Rat
Conjugate:
Unconjugated
Immunogen:
Recombinant protein (or fragment).This information is considered to be commercially sensitive.
Tested Applications:
WBIHC-PIF/ICCELISA
Recommended Dilution:
WB
1:200 - 1:2000
IHC-P
1:50 - 1:200
IF/ICC
1:50 - 1:200
ELISA
Recommended starting concentration is 1 μg/mL. Please optimize the concentration based on your specific assay requirements.
This locus encodes an AT-rich DNA interacting domain-containing protein. The encoded protein is a component of the SWI/SNF chromatin remodeling complex and may play a role in cell-cycle activation. The protein encoded by this locus is similar to AT-rich interactive domain-containing protein 1A. These two proteins function as alternative, mutually exclusive ARID-subunits of the SWI/SNF complex. The associated complexes play opposing roles. Alternative splicing results in multiple transcript variants.
Purification Method
Affinity purification
Gene ID
57492
RRID
AB_2762887
Buffer Information
Store at -20℃. Avoid freeze / thaw cycles. Buffer: PBS with 0.01% thimerosal,50% glycerol,pH7.3.
Western blot analysis of various lysates using ARID1B Rabbit pAb (CAB15488) at 1:1000 dilution. Secondary antibody: HRP-conjugated Goat anti-Rabbit IgG (H+L) (AS014) at 1:10000 dilution. Lysates/proteins: 25μg per lane. Blocking buffer: 3% nonfat dry milk in TBST. Detection: ECL Basic Kit (AbGn00020). Exposure time: 30s.
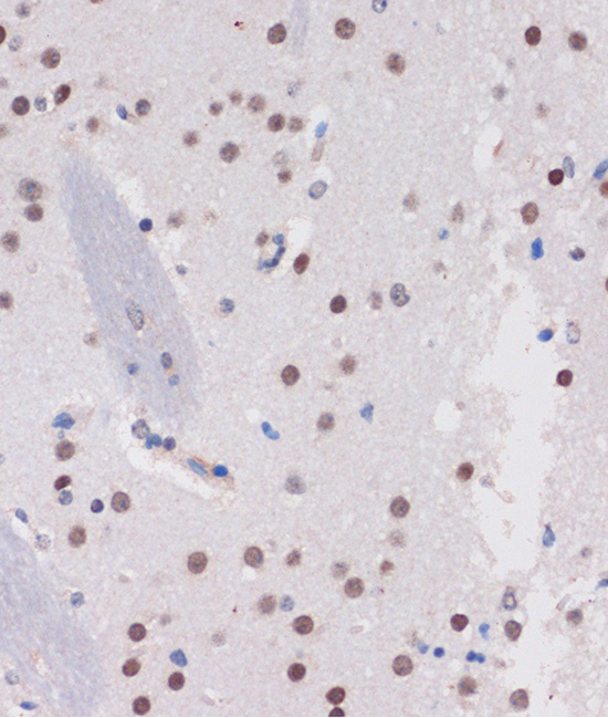
Immunohistochemistry analysis of paraffin-embedded Mouse brain using ARID1B Rabbit pAb (CAB15488) at dilution of 1:100 (40x lens). Microwave antigen retrieval performed with 0.01M PBS Buffer (pH 7.2) prior to IHC staining.
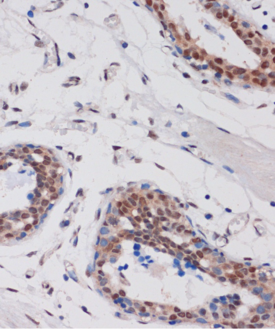
Immunohistochemistry analysis of paraffin-embedded Human breast using ARID1B Rabbit pAb (CAB15488) at dilution of 1:100 (40x lens). Microwave antigen retrieval performed with 0.01M PBS Buffer (pH 7.2) prior to IHC staining.
Immunofluorescence analysis of C6 cells using ARID1B Rabbit pAb (CAB15488) at dilution of 1:100. Secondary antibody: Cy3-conjugated Goat anti-Rabbit IgG (H+L) (AS007) at 1:500 dilution. Blue: DAPI for nuclear staining.