The Pan-Symmetric Di-Methyl Arginine Rabbit Polyclonal Antibody (CAB18261) is a valuable tool for researchers studying protein methylation and its role in cellular processes. This antibody, raised in rabbits, is highly specific for detecting proteins with symmetric di-methyl arginine modifications, providing accurate and reliable results in various applications.Symmetric di-methyl arginine modifications play a crucial role in regulating protein function, protein-protein interactions, and gene expression. By targeting these modifications, researchers can gain insights into the mechanisms underlying various biological processes, such as chromatin remodeling, RNA processing, and cell signaling pathways.
The Pan-Symmetric Di-Methyl Arginine Rabbit Polyclonal Antibody (CAB18261) is validated for use in immunoprecipitation, immunofluorescence, and Western blotting, offering flexibility for researchers to study protein methylation in different experimental settings. Its high specificity and sensitivity make it an essential tool for investigating the impact of symmetric di-methyl arginine modifications on cellular function and disease states, including cancer, neurodegenerative disorders, and metabolic diseases.
A synthetic peptide corresponding to a sequence containing succinylated R.
Tested Applications:
WBELISA
Recommended Dilution:
WB,1:100 - 1:500
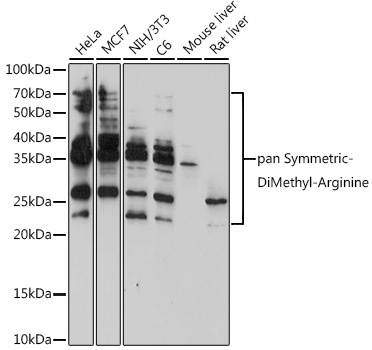
Positive Sample:
HeLa,MCF7,NIH/3T3,C6,Mouse liver,Rat liver
Observed MW:
22-70kDa
The methylation of arginine residues in proteins is a post-translational modification that contributes to a wide range of biological processes. Many cytokines involved in T cell development and activation utilize the common cytokine receptor γ-chain (γc) and the kinase JAK3 for signal transduction.
Purification Method:
Affinity purification
Storage Buffer:
Store at -20℃. Avoid freeze / thaw cycles.Buffer: PBS with 0.01% thimerosal,50% glycerol,pH7.3.
Western blot analysis of various lysates using pan-Symmetric-Di-Methyl Arginine Rabbit pAb (CAB18261) at 1:500 dilution.Secondary antibody: HRP Goat Anti-Rabbit IgG (H+L) (CABS014) at 1:10000 dilution.Lysates/proteins: 25μg per lane.Blocking buffer: 3% nonfat dry milk in TBST.Detection: ECL Basic Kit (AbGn00020).Exposure time: 180s.