Pepsinogen II (PG II) Monoclonal Antibody (CAB22281)
The Pepsinogen II (PG II) Monoclonal Antibody (CAB22281) is a high-quality antibody developed for reliable detection and analysis of target proteins. This gene encodes an aspartic proteinase that belongs to the peptidase family A1. The encoded protein is a digestive enzyme that is produced in the stomach and constitutes a major component of the gastric mucosa. This protein is also secreted into the serum. This protein is synthesized as an inactive zymogen that includes a highly basic prosegment. This enzyme is converted into its active mature form at low pH by sequential cleavage of the prosegment that is carried out by the enzyme itself. Polymorphisms in this gene are associated with susceptibility to gastric cancers. Serum levels of this enzyme are used as a biomarker for certain gastric diseases including Helicobacter pylori related gastritis. Alternate splicing results in multiple transcript variants. A pseudogene of this gene is found on chromosome 1.
This antibody is validated for use in IHC-P, ELISA applications and has demonstrated reactivity against Human, Mouse samples.
Product Name:
Pepsinogen II (PG II) Monoclonal Antibody
SKU:
CAB22281
Size:
100μL, 20μL
Reactivity:
Human, Mouse
Clone Number:
ARC57719
Conjugate:
Unconjugated
Immunogen:
Recombinant protein (or fragment).This information is considered to be commercially sensitive.
Tested Applications:
IHC-PELISA
Recommended Dilution:
IHC-P
1:5000 - 1:20000
ELISA
Recommended starting concentration is 1 μg/mL. Please optimize the concentration based on your specific assay requirements.
Synonyms:
PEPC, PGII, Pepsinogen II (PG II)
Cellular Localization:
Secreted.
Calculated MW:
42kDa
Observed MW:
Refer to figures
This gene encodes an aspartic proteinase that belongs to the peptidase family A1. The encoded protein is a digestive enzyme that is produced in the stomach and constitutes a major component of the gastric mucosa. This protein is also secreted into the serum. This protein is synthesized as an inactive zymogen that includes a highly basic prosegment. This enzyme is converted into its active mature form at low pH by sequential cleavage of the prosegment that is carried out by the enzyme itself. Polymorphisms in this gene are associated with susceptibility to gastric cancers. Serum levels of this enzyme are used as a biomarker for certain gastric diseases including Helicobacter pylori related gastritis. Alternate splicing results in multiple transcript variants. A pseudogene of this gene is found on chromosome 1.
Purification Method
Affinity purification
Gene ID
5225
Buffer Information
Store at -20℃. Avoid freeze / thaw cycles. Buffer: PBS containing 50% glycerol and 0.05% BSA, preserved with proclin300 or sodium azide, pH 7.3.
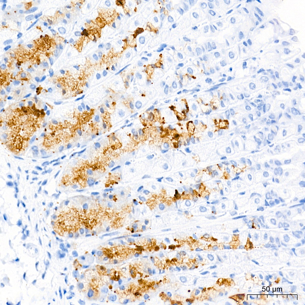
Immunohistochemistry analysis of paraffin-embedded Human stomach tissue using Pepsinogen II (PG II) Rabbit mAb (CAB22281) at a dilution of 1:10000 (40x lens). High pressure antigen retrieval performed with 0.01M Tris-EDTA Buffer (pH 9.0) prior to IHC staining.
Immunohistochemistry analysis of paraffin-embedded Mouse stomach tissue using Pepsinogen II (PG II) Rabbit mAb (CAB22281) at a dilution of 1:10000 (40x lens). High pressure antigen retrieval performed with 0.01M Tris-EDTA Buffer (pH 9.0) prior to IHC staining.