Description
Prl Antibody (PACO60793)
The PRL Antibody (PAC060793) is a valuable tool for researchers studying immune regulation and hormone-related pathways. This polyclonal antibody, produced in rabbits, is specifically designed to target PRL (Prolactin), a hormone known for its role in lactation and immune system modulation.This antibody is highly reactive with human samples and is validated for use in various research applications, including Western blotting and immunohistochemistry. By binding to PRL, researchers can effectively detect and analyze the protein in different cell types, providing valuable insights into its function and potential implications in diseases such as breast cancer and infertility.
PRL is a multifunctional hormone with diverse roles in reproductive biology, metabolism, and immune regulation. Its involvement in various physiological processes makes it a promising target for therapeutic interventions and further research in endocrinology and oncology. With the PRL Antibody, researchers can unlock new discoveries and potential treatment strategies in these areas.
| Antibody Name: | Prl Antibody (PACO60793) |
| Antibody SKU: | PACO60793 |
| Size: | 50ug |
| Host Species: | Rabbit |
| Tested Applications: | ELISA, IHC |
| Recommended Dilutions: | ELISA:1:2000-1:10000, IHC:1:200-1:500 |
| Species Reactivity: | Rat |
| Immunogen: | Recombinant Rat Prolactin protein (30-226AA) |
| Form: | Liquid |
| Storage Buffer: | Preservative: 0.03% Proclin 300 Constituents: 50% Glycerol, 0.01M PBS, pH 7.4 |
| Purification Method: | >95%, Protein G purified |
| Clonality: | Polyclonal |
| Isotype: | IgG |
| Conjugate: | Non-conjugated |
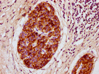
![]() | IHC image of PACO60793 diluted at 1:300 and staining in paraffin-embedded human pancreatic cancer performed on a Leica BondTM system. After dewaxing and hydration, antigen retrieval was mediated by high pressure in a citrate buffer (pH 6.0). Section was blocked with 10% normal goat serum 30min at RT. Then primary antibody (1% BSA) was incubated at 4°C overnight. The primary is detected by a biotinylated secondary antibody and visualized using an HRP conjugated SP system. |
| Background: | Prolactin acts primarily on the mammary gland by promoting lactation. |
| Synonyms: | Prolactin (PRL), Prl |
| UniProt Protein Function: | prolactin: Prolactin acts primarily on the mammary gland by promoting lactation. Belongs to the somatotropin/prolactin family. |
| UniProt Protein Details: | Protein type:Secreted; Motility/polarity/chemotaxis; Cytokine; Secreted, signal peptide Cellular Component: extracellular region; secretory granule Molecular Function:prolactin receptor binding; hormone activity Biological Process: response to drug; circadian rhythm; lactation; maternal behavior; regulation of multicellular organism growth; positive regulation of JAK-STAT cascade; response to lipopolysaccharide; response to organic cyclic substance; response to estradiol stimulus; cellular response to hormone stimulus; response to ethanol; regulation of JAK-STAT cascade; ovulation cycle; mammary gland development; positive regulation of cell proliferation; parturition; regulation of ossification; multicellular organismal response to stress; positive regulation of epithelial cell proliferation; response to nutrient; STAT protein nuclear translocation |
| NCBI Summary: | induces lactation; may facilitate decidual growth and placentation; promotes prostate epithelial cell proliferation [RGD, Feb 2006] |
| UniProt Code: | P01237 |
| NCBI GenInfo Identifier: | 130938 |
| NCBI Gene ID: | 24683 |
| NCBI Accession: | P01237.1 |
| UniProt Secondary Accession: | P01237,P70520, |
| UniProt Related Accession: | P01237 |
| Molecular Weight: | 25,753 Da |
| NCBI Full Name: | Prolactin |
| NCBI Synonym Full Names: | prolactin |
| NCBI Official Symbol: | Prl  |
| NCBI Official Synonym Symbols: | PRLB; Prol; PRLSD1; Prl1a1; RNPROL; RATPRLSD1Â Â |
| NCBI Protein Information: | prolactin; prolactin family 1, subfamily a, member 1 |
| UniProt Protein Name: | Prolactin |
| Protein Family: | Prolactin |
| UniProt Gene Name: | Prl  |
| UniProt Entry Name: | PRL_RAT |
