Description
SIRPA/SIRPB1 Antibody (PACO06908)
The SIRPA/SIRPB1 Polyclonal Antibody (PACO06908) is a valuable tool for researchers studying the SIRP (signal regulatory protein) family of cell surface receptors. This antibody, raised in rabbits, specifically targets both SIRPA and SIRPB1 proteins in human samples, allowing for detection and analysis in various cell types.SIRP receptors are known to play a crucial role in immune regulation, particularly in the inhibition of phagocytosis and the modulation of inflammatory responses. The SIRPA/SIRPB1 Polyclonal Antibody is validated for use in Western blot applications, making it an ideal choice for studies in immunology, inflammation, and cancer research.
Understanding the function and expression of SIRPA and SIRPB1 proteins is essential for unraveling their roles in diseases such as cancer, autoimmune disorders, and inflammatory conditions. By using this antibody, researchers can delve deeper into the mechanisms by which these receptors regulate immune responses, paving the way for potential therapeutic interventions targeting the SIRP pathway.
| Antibody Name: | SIRPA/SIRPB1 Antibody (PACO06908) |
| Antibody SKU: | PACO06908 |
| Size: | 50ug |
| Host Species: | Rabbit |
| Tested Applications: | ELISA, WB |
| Recommended Dilutions: | ELISA:1:10000, WB:1:500-1:2000 |
| Species Reactivity: | Human |
| Immunogen: | Synthesized peptide derived from the Internal region of human SIRP- α 1/ β 1. |
| Form: | Liquid |
| Storage Buffer: | Liquid in PBS containing 50% glycerol, 0.5% BSA and 0.02% sodium azide. |
| Purification Method: | The antibody was affinity-purified from rabbit antiserum by affinity-chromatography using epitope-specific immunogen. |
| Clonality: | Polyclonal |
| Isotype: | IgG |
| Conjugate: | Non-conjugated |
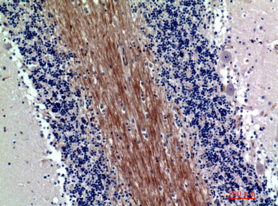
![]() | Immunohistochemical analysis of paraffin-embedded human-brain, antibody was diluted at 1:200. |
![]() | Western Blot analysis of Hela cells using SIRP-alpha 1/ beta 1 Polyclonal Antibody. |
| Synonyms: | SIRPA; BIT; MFR; MYD1; PTPNS1; SHPS1; SIRP; Tyrosine-protein phosphatase non-receptor type substrate 1; SHP substrate 1; SHPS-1; Brain Ig-like molecule with tyrosine-based activation motifs; Bit; CD172 antigen-like family member A; Inhibitory receptor SHP |
| UniProt Protein Function: | SHPS1: Immunoglobulin-like cell surface receptor for CD47. Acts as docking protein and induces translocation of PTPN6, PTPN11 and other binding partners from the cytosol to the plasma membrane. Supports adhesion of cerebellar neurons, neurite outgrowth and glial cell attachment. May play a key role in intracellular signaling during synaptogenesis and in synaptic function. Involved in the negative regulation of receptor tyrosine kinase-coupled cellular responses induced by cell adhesion, growth factors or insulin. Mediates negative regulation of phagocytosis, mast cell activation and dendritic cell activation. CD47 binding prevents maturation of immature dendritic cells and inhibits cytokine production by mature dendritic cells. Binds PTPN11 when tyrosine-phosphorylated, except in macrophages, where it primarily binds PTPN6. Binds GRB2 in vitro. Binds FGR. Binds JAK2 irrespective of its phosphorylation status and forms a stable complex. Binds SCAP1 and/or SCAP2. The resulting complex recruits FYB. Binds PTK2B. Ubiquitous. Highly expressed in brain. Detected on myeloid cells, but not T-cells. Detected at lower levels in heart, placenta, lung, testis, ovary, colon, liver, small intestine, prostate, spleen, kidney, skeletal muscle and pancreas. 3 isoforms of the human protein are produced by alternative splicing. |
| UniProt Protein Details: | Protein type:Cell surface; Motility/polarity/chemotaxis; Cell adhesion; Receptor, misc.; Membrane protein, integral Chromosomal Location of Human Ortholog: 20p13 Cellular Component: membrane; integral to membrane; plasma membrane Molecular Function:SH3 domain binding Biological Process: blood coagulation; cell adhesion; leukocyte migration |
| NCBI Summary: | The protein encoded by this gene is a member of the signal-regulatory-protein (SIRP) family, and also belongs to the immunoglobulin superfamily. SIRP family members are receptor-type transmembrane glycoproteins known to be involved in the negative regulation of receptor tyrosine kinase-coupled signaling processes. This protein can be phosphorylated by tyrosine kinases. The phospho-tyrosine residues of this PTP have been shown to recruit SH2 domain containing tyrosine phosphatases (PTP), and serve as substrates of PTPs. This protein was found to participate in signal transduction mediated by various growth factor receptors. CD47 has been demonstrated to be a ligand for this receptor protein. This gene and its product share very high similarity with several other members of the SIRP family. These related genes are located in close proximity to each other on chromosome 20p13. Multiple alternatively spliced transcript variants have been determined for this gene. [provided by RefSeq, Jul 2008] |
| UniProt Code: | P78324 |
| NCBI GenInfo Identifier: | 91105764 |
| NCBI Gene ID: | 140885 |
| NCBI Accession: | NP_001035111.1 |
| UniProt Secondary Accession: | P78324,O00683, O43799, Q8N517, Q8TAL8, Q9H0Z2, Q9UDX2 Q9UIJ6, Q9Y4U9, A2A2E1, A8K411, B2R6C3, |
| UniProt Related Accession: | P78324 |
| Molecular Weight: | 54,967 Da |
| NCBI Full Name: | tyrosine-protein phosphatase non-receptor type substrate 1 |
| NCBI Synonym Full Names: | signal-regulatory protein alpha |
| NCBI Official Symbol: | SIRPAÂ Â |
| NCBI Official Synonym Symbols: | BIT; MFR; P84; SIRP; MYD-1; SHPS1; CD172A; PTPNS1Â Â |
| NCBI Protein Information: | tyrosine-protein phosphatase non-receptor type substrate 1; myd-1 antigen; inhibitory receptor SHPS-1; macrophage fusion receptor; CD172 antigen-like family member A; tyrosine phosphatase SHP substrate 1; brain-immunoglobulin-like molecule with tyrosine-b |
| UniProt Protein Name: | Tyrosine-protein phosphatase non-receptor type substrate 1 |
| UniProt Synonym Protein Names: | Brain Ig-like molecule with tyrosine-based activation motifs; Bit; CD172 antigen-like family member A; Inhibitory receptor SHPS-1; Macrophage fusion receptor; MyD-1 antigen; Signal-regulatory protein alpha-1; Sirp-alpha-1; Signal-regulatory protein alpha-2; Sirp-alpha-2; Signal-regulatory protein alpha-3; Sirp-alpha-3; p84 |
| Protein Family: | Nonribosomal peptide synthetase |
| UniProt Gene Name: | SIRPAÂ Â |
| UniProt Entry Name: | SHPS1_HUMAN |

