The TriMethyl-Histone H3-K36 Antibody (CAB2366) is a high-quality antibody developed for reliable detection and analysis of target proteins. Histones are basic nuclear proteins that are responsible for the nucleosome structure of the chromosomal fiber in eukaryotes. Nucleosomes consist of approximately 146 bp of DNA wrapped around a histone octamer composed of pairs of each of the four core histones (H2A, H2B, H3, and H4). The chromatin fiber is further compacted through the interaction of a linker histone, H1, with the DNA between the nucleosomes to form higher order chromatin structures. This gene is intronless and encodes a replication-dependent histone that is a member of the histone H3 family. Transcripts from this gene lack polyA tails; instead, they contain a palindromic termination element. This gene is located separately from the other H3 genes that are in the histone gene cluster on chromosome 6p22-p21.3. RRID AB_2764326 Gene ID 8290 8350 Swiss Prot Synonym H3t; H3.4; H3/g; H3FT; H3C16; HIST3H3; TriMethyl-Histone H3-K36
This antibody is validated for use in WB, IHC-P, IF/ICC, ChIP, ChIP-seq, ELISA, DB applications and has demonstrated reactivity against Human, Mouse, Rat, Other (Wide Range Predicted) samples.
Product Name:
TriMethyl-Histone H3-K36 Antibody
SKU:
CAB2366
Size:
100μL, 20μL
Reactivity:
Human, Mouse, Rat, Other (Wide Range Predicted)
Clone Number:
-
Conjugate:
Unconjugated
Immunogen:
Synthetic peptide. This information is considered to be commercially sensitive.
Tested Applications:
WBIHC-PIF/ICCChIPChIP-seqELISADB
Recommended Dilution:
WB
1:500 - 1:1000
DB
1:500 - 1:2000
IHC-P
1:50 - 1:200
IF
/
ICC
1:50 - 1:200
ELISA
Recommended starting concentration is 1 μg/mL. Please optimize the concentration based on your specific assay requirements. Ch
Histones are basic nuclear proteins that are responsible for the nucleosome structure of the chromosomal fiber in eukaryotes. Nucleosomes consist of approximately 146 bp of DNA wrapped around a histone octamer composed of pairs of each of the four core histones (H2A, H2B, H3, and H4). The chromatin fiber is further compacted through the interaction of a linker histone, H1, with the DNA between the nucleosomes to form higher order chromatin structures. This gene is intronless and encodes a replication-dependent histone that is a member of the histone H3 family. Transcripts from this gene lack polyA tails; instead, they contain a palindromic termination element. This gene is located separately from the other H3 genes that are in the histone gene cluster on chromosome 6p22-p21.3. RRID AB_2764326 Gene ID 8290 8350 Swiss Prot Synonym H3t; H3.4; H3/g; H3FT; H3C16; HIST3H3; TriMethyl-Histone H3-K36
Purification Method:
Affinity purification
Gene ID:
8290 8350
RRID:
AB_2764326
Buffer Information:
Store at -20℃. Avoid freeze / thaw cycles. Buffer: PBS containing 50% glycerol, preserved with proclin300 or sodium azide, pH 7.3.
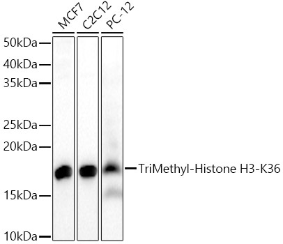
Western blot analysis of various lysates, using TriMethyl-Histone H3-K36 Rabbit pAb (CAB2366) at 1:400 dilution. Secondary antibody: HRP-conjugated Goat anti-Rabbit IgG (H+L) (AS014) at 1:10000 dilution. Lysates/proteins: 25μg per lane. Blocking buffer: 3% nonfat dry milk in TBST. Detection: ECL Basic Kit (AbGn00020). Exposure time: 60s.
Dot-blot analysis of all sorts of methylation peptides using TriMethyl-Histone H3-K36 antibody (CAB2366).
Immunohistochemistry analysis of paraffin-embedded Human spleen using TriMethyl-Histone H3-K36 Rabbit pAb (CAB2366) at dilution of 1:100 (40x lens). High pressure antigen retrieval performed with 0.01M Citrate buffer (pH 6.0) prior to IHC staining.
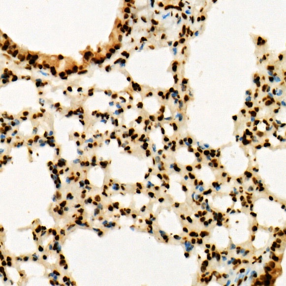
Immunohistochemistry analysis of paraffin-embedded Mouse lung using TriMethyl-Histone H3-K36 Rabbit pAb (CAB2366) at dilution of 1:100 (40x lens). High pressure antigen retrieval performed with 0.01M Citrate buffer (pH 6.0) prior to IHC staining.
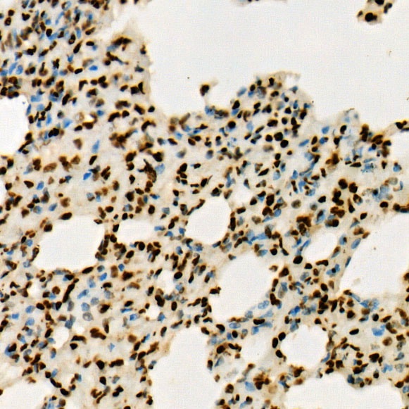
Immunohistochemistry analysis of paraffin-embedded Rat lung using TriMethyl-Histone H3-K36 Rabbit pAb (CAB2366) at dilution of 1:100 (40x lens). High pressure antigen retrieval performed with 0.01M Citrate buffer (pH 6.0) prior to IHC staining.
Chromatin immunoprecipitation analysis of extracts of HeLa cells, using TriMethyl-Histone H3-K36 Rabbit pAb antibody (CAB2366) and rabbit IgG.The amount of immunoprecipitated DNA was checked by quantitative PCR. Histogram was constructed by the ratios of the immunoprecipitated DNA to the input.
Chromatin immunoprecipitation analysis of extracts of HeLa cells, using TriMethyl-Histone H3-K36 antibody (CAB2366) and rabbit IgG.The amount of immunoprecipitated DNA was checked by quantitative PCR. Histogram was constructed by the ratios of the immunoprecipitated DNA to the input.