The TUBGCP6 Antibody (CAB15921) is a high-quality antibody developed for reliable detection and analysis of target proteins. This antibody, produced in rabbits, exhibits high specificity and sensitivity towards TubGCP6 in human samples, making it suitable for Western blot applications. By binding to TubGCP6, this antibody allows for accurate detection and analysis of the protein in various cell types, making it an essential reagent for cell biology and cancer research.TubGCP6, a component of the gamma-tubulin ring complex, is crucial for microtubule nucleation and organization, processes essential for cell division and intracellular transport.
This antibody is validated for use in WB, IHC-P, ELISA applications and has demonstrated reactivity against Human, Mouse, Rat samples.
Product Name:
TUBGCP6 Antibody
SKU:
CAB15921
Size:
20μL, 100μL
Reactivity:
Human, Mouse, Rat
Conjugate:
Unconjugated
Immunogen:
Recombinant protein (or fragment).This information is considered to be commercially sensitive.
The protein encoded by this gene is part of a large multisubunit complex required for microtubule nucleation at the centrosome.
Purification Method
Affinity purification
Gene ID
85378
RRID
AB_2763354
Buffer Information
Store at -20℃. Avoid freeze / thaw cycles. Buffer: PBS with 0.01% thimerosal,50% glycerol,pH7.3.
Western blot analysis of various lysates using TUBGCP6 Rabbit pAb (CAB15921) at 1000 dilution. Secondary antibody: HRP-conjugated Goat anti-Rabbit IgG (H+L) (CABS014) at 1:10000 dilution. Lysates/proteins: 25μg per lane. Blocking buffer: 3% nonfat dry milk in TBST. Detection: ECL Basic Kit (AbGn00020). Exposure time: 10s.
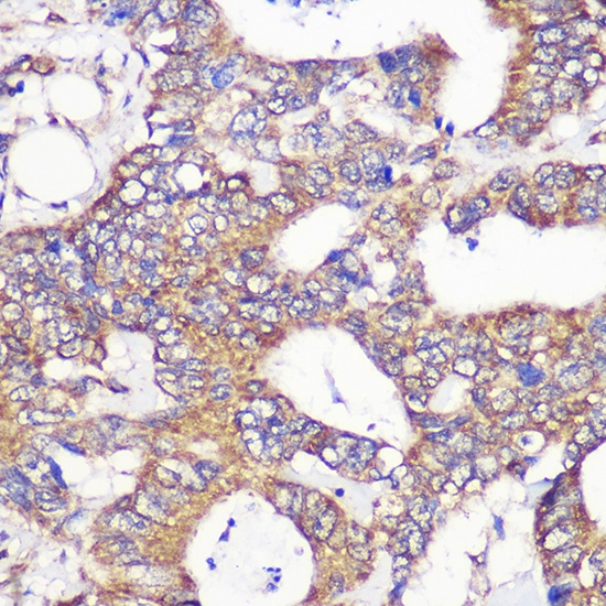
Immunohistochemistry analysis of paraffin-embedded Human colon carcinoma using TUBGCP6 Rabbit pAb (CAB15921) at dilution of 1:100 (40x lens). Microwave antigen retrieval performed with 0.01M PBS Buffer (pH 7.2) prior to IHC staining.
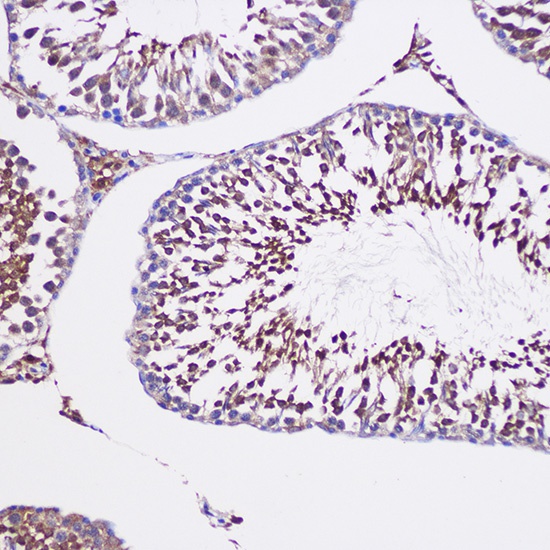
Immunohistochemistry analysis of paraffin-embedded Rat testis using TUBGCP6 Rabbit pAb (CAB15921) at dilution of 1:100 (20x lens). Microwave antigen retrieval performed with 0.01M PBS Buffer (pH 7.2) prior to IHC staining.