The Acetyl-Histone H4-K5 Antibody (CAB15233) is a high-quality antibody developed for reliable detection and analysis of target proteins. Histones are basic nuclear proteins that are responsible for the nucleosome structure of the chromosomal fiber in eukaryotes. This structure consists of approximately 146 bp of DNA wrapped around a nucleosome, an octamer composed of pairs of each of the four core histones (H2A, H2B, H3, and H4). The chromatin fiber is further compacted through the interaction of a linker histone, H1, with the DNA between the nucleosomes to form higher order chromatin structures. This gene is intronless and encodes a replication-dependent histone that is a member of the histone H4 family. Transcripts from this gene lack polyA tails; instead, they contain a palindromic termination element. This gene is found in a histone cluster on chromosome 1. This gene is one of four histone genes in the cluster that are duplicated; this record represents the centromeric copy. RRID AB_2762128 Gene ID 8359 Swiss Prot Synonym H4; H4/n; H4C1; H4C2; H4C3; H4C4; H4C5; H4C6; H4C8; H4C9; H4F2; H4FN; FO108; H4-16; H4C11; H4C12; H4C13; H4C15; H4C16; HIST2H4; HIST2H4A; Acetyl-Histone H4-K5
This antibody is validated for use in WB, IHC-P, ChIP, ELISA applications and has demonstrated reactivity against Human, Mouse, Rat, Other (Wide Range Predicted) samples.
Product Name:
Acetyl-Histone H4-K5 Antibody
SKU:
CAB15233
Size:
100μL, 20μL
Reactivity:
Human, Mouse, Rat, Other (Wide Range Predicted)
Clone Number:
-
Conjugate:
Unconjugated
Immunogen:
Synthetic peptide. This information is considered to be commercially sensitive.
Tested Applications:
WBIHC-PChIPELISA
Recommended Dilution:
WB
1:500 - 1:2000
IHC-P
1:50 - 1:200
ELISA
Recommended starting concentration is 1 μg/mL. Please optimize the concentration based on your specific assay requirements. Ch
Histones are basic nuclear proteins that are responsible for the nucleosome structure of the chromosomal fiber in eukaryotes. This structure consists of approximately 146 bp of DNA wrapped around a nucleosome, an octamer composed of pairs of each of the four core histones (H2A, H2B, H3, and H4). The chromatin fiber is further compacted through the interaction of a linker histone, H1, with the DNA between the nucleosomes to form higher order chromatin structures. This gene is intronless and encodes a replication-dependent histone that is a member of the histone H4 family. Transcripts from this gene lack polyA tails; instead, they contain a palindromic termination element. This gene is found in a histone cluster on chromosome 1. This gene is one of four histone genes in the cluster that are duplicated; this record represents the centromeric copy. RRID AB_2762128 Gene ID 8359 Swiss Prot Synonym H4; H4/n; H4C1; H4C2; H4C3; H4C4; H4C5; H4C6; H4C8; H4C9; H4F2; H4FN; FO108; H4-16; H4C11; H4C12; H4C13; H4C15; H4C16; HIST2H4; HIST2H4A; Acetyl-Histone H4-K5
Purification Method:
Affinity purification
Gene ID:
8359
RRID:
AB_2762128
Buffer Information:
Store at -20℃. Avoid freeze / thaw cycles. Buffer: PBS containing 50% glycerol, preserved with proclin300 or sodium azide, pH 7.3.
Western blot analysis of various lysates using Acetyl-Histone H4-K5 Rabbit pAb (CAB15233) at 1:1000 dilution. HeLa cells were treated with TSA (1uM) for 18 hours. C6 cells were treated with TSA (1uM) for 18 hours. Secondary antibody: HRP-conjugated Goat anti-Rabbit IgG (H+L) (AS014) at 1:10000 dilution. Lysates/proteins: 25μg per lane. Blocking buffer: 3% nonfat dry milk in TBST. Detection: ECL Basic Kit (AbGn00020). Exposure time: 30s.
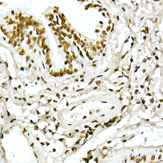
Immunohistochemistry analysis of paraffin-embedded Human lung using Acetyl-Histone H4-K5 Rabbit pAb (CAB15233) at dilution of 1:20 (40x lens). High pressure antigen retrieval performed with 0.01M Citrate buffer (pH 6.0) prior to IHC staining.
Immunohistochemistry analysis of paraffin-embedded Rat lung using Acetyl-Histone H4-K5 Rabbit pAb (CAB15233) at dilution of 1:20 (40x lens). High pressure antigen retrieval performed with 0.01M Citrate buffer (pH 6.0) prior to IHC staining.
Chromatin immunoprecipitation analysis of extracts of HeLa cells, using Acetyl-Histone H4-K5 Rabbit pAb antibody (CAB15233) and rabbit IgG.The amount of immunoprecipitated DNA was checked by quantitative PCR. Histogram was constructed by the ratios of the immunoprecipitated DNA to the input.