The Anti-LHX3 Antibody (CAB19590) is a valuable tool for researchers studying LHX3, a transcription factor that plays a key role in pituitary gland development and hormone regulation. This polyclonal antibody is produced in rabbits and has been validated for use in various applications, including immunofluorescence and immunohistochemistry.LHX3 is essential for the formation of the pituitary gland and is involved in the differentiation of hormone-producing cells. Mutations in the LHX3 gene can lead to pituitary disorders and hormone imbalances, making it a target of interest in studies related to endocrine function and hormone-related diseases.
By specifically binding to the LHX3 protein, this antibody enables researchers to detect and analyze LHX3 expression in cell and tissue samples, providing valuable insights into its function and potential therapeutic targets. Its high reactivity with human samples makes it an ideal tool for investigating the role of LHX3 in various physiological and pathological conditions.
Product Name:
LHX3 Rabbit Monoclonal Antibody
SKU:
CAB19590
Size:
20uL, 100uL
Isotype:
IgG
Host Species:
Rabbit
Reactivity:
Human,Mouse,Rat
Immunogen:
A synthetic peptide corresponding to a sequence within amino acids 250-350 of human LHX3 (Q9UBR4).
This gene encodes a member of a large family of proteins which carry the LIM domain, a unique cysteine-rich zinc-binding domain. The encoded protein is a transcription factor that is required for pituitary development and motor neuron specification. Mutations in this gene cause combined pituitary hormone deficiency 3. Alternative splicing results in multiple transcript variants encoding different isoforms.
Purification Method:
Affinity purification
Gene ID:
8022
Clone Number:
ARC2150
Storage Buffer:
Store at -20℃. Avoid freeze / thaw cycles.Buffer: PBS with 0.02% sodium azide,0.05% BSA,50% glycerol,pH7.3.
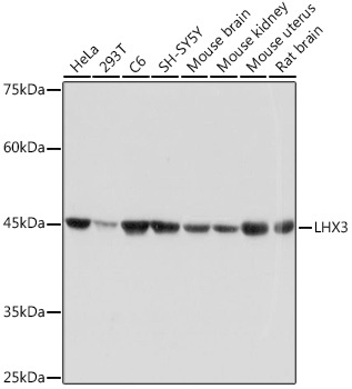
Western blot analysis of extracts of various cell lines, using LHX3 Rabbit mAb (CAB19590) at 1:1000 dilution.Secondary antibody: HRP Goat Anti-Rabbit IgG (H+L) (CABS014) at 1:10000 dilution.Lysates/proteins: 25μg per lane.Blocking buffer: 3% nonfat dry milk in TBST.Detection: ECL Basic Kit (AbGn00020).Exposure time: 1s.