Glycophorin C (GYPC) Monoclonal Antibody (CAB11472)
The Glycophorin C (GYPC) Monoclonal Antibody (CAB11472) is a high-quality antibody developed for reliable detection and analysis of target proteins. Glycophorin C (GYPC) is an integral membrane glycoprotein. It is a minor species carried by human erythrocytes, but plays an important role in regulating the mechanical stability of red cells. A number of glycophorin C mutations have been described. The Gerbich and Yus phenotypes are due to deletion of exon 3 and 2, respectively. The Webb and Duch antigens, also known as glycophorin D, result from single point mutations of the glycophorin C gene. The glycophorin C protein has very little homology with glycophorins A and B. Alternate splicing results in multiple transcript variants.
This antibody is validated for use in WB, IHC-P, ELISA applications and has demonstrated reactivity against Human, Mouse, Rat samples.
Product Name:
Glycophorin C (GYPC) Monoclonal Antibody
SKU:
CAB11472
Size:
100μL, 20μL
Reactivity:
Human, Mouse, Rat
Clone Number:
ARC0605
Conjugate:
Unconjugated
Immunogen:
Synthetic peptide. This information is considered to be commercially sensitive.
Tested Applications:
WBIHC-PELISA
Recommended Dilution:
WB
1:500 - 1:1000
IHC-P
1:200 - 1:800
ELISA
Recommended starting concentration is 1 μg/mL. Please optimize the concentration based on your specific assay requirements.
Cell Membrane, Single-Pass Type Iii Membrane Protein.
Calculated MW:
14kDa
Observed MW:
30-40kDa
Glycophorin C (GYPC) is an integral membrane glycoprotein. It is a minor species carried by human erythrocytes, but plays an important role in regulating the mechanical stability of red cells. A number of glycophorin C mutations have been described. The Gerbich and Yus phenotypes are due to deletion of exon 3 and 2, respectively. The Webb and Duch antigens, also known as glycophorin D, result from single point mutations of the glycophorin C gene. The glycophorin C protein has very little homology with glycophorins A and B. Alternate splicing results in multiple transcript variants.
Purification Method
Affinity purification
Gene ID
2995
RRID
AB_2861573
Buffer Information
Store at -20℃. Avoid freeze / thaw cycles. Buffer: PBS containing 50% glycerol and 0.05% BSA, preserved with proclin300 or sodium azide, pH 7.3.
Western blot analysis of various lysates using Glycophorin C (GYPC) Rabbit mAb (CAB11472) at 1:1000 dilution. Secondary antibody: HRP-conjugated Goat anti-Rabbit IgG (H+L) (AS014) at 1:10000 dilution. Lysates/proteins: 25μg per lane. Blocking buffer: 3% nonfat dry milk in TBST. Detection: ECL Basic Kit (AbGn00020). Exposure time: 30s.
Western blot analysis of lysates from K-562 cells, using Glycophorin C (GYPC) Rabbit mAb (CAB11472) at 1:1000 dilution. Secondary antibody: HRP-conjugated Goat anti-Rabbit IgG (H+L) (AS014) at 1:10000 dilution. Lysates/proteins: 25μg per lane. Blocking buffer: 3% nonfat dry milk in TBST. Detection: ECL Basic Kit (AbGn00020). Exposure time: 90s.
Immunohistochemistry analysis of paraffin-embedded Human breast tissue using Glycophorin C (GYPC) Rabbit mAb (CAB11472) at a dilution of 1:200 (40x lens). High pressure antigen retrieval performed with 0.01M Citrate buffer (pH 6.0) prior to IHC staining.
Immunohistochemistry analysis of paraffin-embedded Human esophagus tissue using Glycophorin C (GYPC) Rabbit mAb (CAB11472) at a dilution of 1:200 (40x lens). High pressure antigen retrieval performed with 0.01M Citrate buffer (pH 6.0) prior to IHC staining.
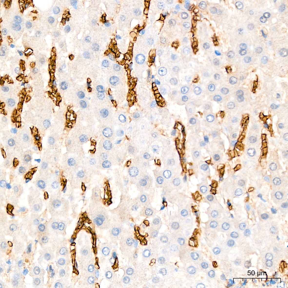
Immunohistochemistry analysis of paraffin-embedded Human liver tissue using Glycophorin C (GYPC) Rabbit mAb (CAB11472) at a dilution of 1:200 (40x lens). High pressure antigen retrieval performed with 0.01M Citrate buffer (pH 6.0) prior to IHC staining.