The NKX2-8 Polyclonal Antibody (PAC057892) is a valuable tool for researchers studying the NKX2-8 protein, a transcription factor involved in cell development and differentiation. This antibody, produced in rabbits, demonstrates high reactivity with human samples and has been validated for use in Western blot applications. By targeting the NKX2-8 protein, this antibody enables the detection and analysis of this important molecule in a variety of cell types, making it ideal for investigations in developmental biology and cancer research.NKX2-8 plays a critical role in regulating gene expression and cell fate determination, making it a key player in developmental processes and disease pathways.
Research into the functions of NKX2-8 is essential for understanding its impact on cell development and differentiation, as well as its potential implications in diseases such as cancer and developmental disorders. By using the NKX2-8 Polyclonal Antibody, researchers can gain valuable insights into the mechanisms underlying these processes and potentially identify new targets for therapeutic interventions.
Antibody Name:
NKX2-8 Antibody (PACO57892)
Antibody SKU:
PACO57892
Size:
50ug
Host Species:
Rabbit
Tested Applications:
ELISA, IHC
Recommended Dilutions:
ELISA:1:2000-1:10000, IHC:1:200-1:500
Species Reactivity:
Human
Immunogen:
Recombinant Human Homeobox protein Nkx-2.8 protein (1-160AA)
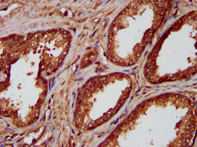
IHC image of PACO57892 diluted at 1:300 and staining in paraffin-embedded human prostate cancer performed on a Leica BondTM system. After dewaxing and hydration, antigen retrieval was mediated by high pressure in a citrate buffer (pH 6.0). Section was blocked with 10% normal goat serum 30min at RT. Then primary antibody (1% BSA) was incubated at 4°C overnight. The primary is detected by a biotinylated secondary antibody and visualized using an HRP conjugated SP system.
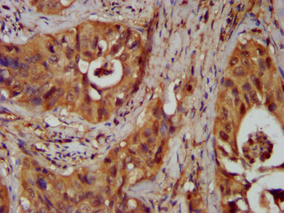
IHC image of PACO57892 diluted at 1:300 and staining in paraffin-embedded human cervical cancer performed on a Leica BondTM system. After dewaxing and hydration, antigen retrieval was mediated by high pressure in a citrate buffer (pH 6.0). Section was blocked with 10% normal goat serum 30min at RT. Then primary antibody (1% BSA) was incubated at 4°C overnight. The primary is detected by a biotinylated secondary antibody and visualized using an HRP conjugated SP system.
Background:
double-stranded DNA binding, RNA polymerase II core promoter proximal region sequence-specific DNA binding, sequence-specific DNA binding, transcription factor activity, sequence-specific DNA binding, transcriptional activator activity, RNA polymerase II core promoter proximal region sequence-specific binding, liver development, positive regulation of transcription from RNA polymerase II promoter, transcription from RNA polymerase II promoter, transcription, DNA-templated
Synonyms:
Homeobox protein Nkx-2.8 (Homeobox protein NK-2 homolog H), NKX2-8, NKX-2.8 NKX2G NKX2H
UniProt Protein Function:
NKX2-8: Belongs to the NK-2 homeobox family.Protein type: Cell development/differentiation; DNA-binding; Transcription factorChromosomal Location of Human Ortholog: 14q13.3Molecular Function: double-stranded DNA binding; sequence-specific DNA binding; transcription factor activityBiological Process: positive regulation of transcription from RNA polymerase II promoter; transcription from RNA polymerase II promoter; transcription, DNA-dependent
UniProt Protein Details:
NCBI Summary:
The protein encoded by this gene is a homeobox-containing developmental regulator associated with liver development. The encoded protein binds to the alpha-fetoprotein (AFP) gene promoter and increases the expression of AFP. This gene is overexpressed in some lung cancers and is linked to poor patient survival, possibly due to its resistance to cisplatin. This gene is aberrantly methylated in pancreatic cancer, deleted in squamous cell lung carcinomas, and acts as a tumor suppressor in esophageal cancer. Mutations in this gene may also be a cause of neural tube defects. [provided by RefSeq, Dec 2015]