The PET100 Polyclonal Antibody (PACO47850) is a high-quality research tool designed for studies involving PET100, a protein involved in mitochondrial biogenesis and function. This antibody, generated in rabbits, exhibits strong reactivity with human samples and is validated for use in various applications, including Western blotting.PET100 plays a crucial role in maintaining mitochondrial integrity and function, making it a key player in cellular energy production and metabolism. Dysregulation of PET100 has been implicated in various diseases, including metabolic disorders and neurodegenerative conditions.
By targeting PET100, researchers can gain insights into mitochondrial dysfunction and its role in disease pathogenesis.With its high specificity and sensitivity, the PET100 Polyclonal Antibody is an essential tool for investigating the function and regulation of PET100 in health and disease. Its versatility in various experimental techniques makes it suitable for a wide range of research areas, including cell biology, metabolism, and mitochondrial biology. Unlock the potential of PET100 research with this reliable antibody.
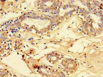
Immunohistochemistry of paraffin-embedded human breast cancer using PACO47850 at dilution of 1:100.
Immunofluorescent analysis of Hela cells using PACO47850 at dilution of 1:100 and Alexa Fluor 488-congugated AffiniPure Goat Anti-Rabbit IgG(H+L).
Synonyms:
Protein PET100 homolog, mitochondrial, PET100, C19orf79
UniProt Protein Function:
PET100: Belongs to the PET100 family. Interacts with COX7A2Chromosomal Location of Human Ortholog: 19p13.2Cellular Component: integral to mitochondrial inner membraneMolecular Function: unfolded protein bindingBiological Process: mitochondrial respiratory chain complex IV assemblyDisease: Mitochondrial Complex Iv Deficiency
UniProt Protein Details:
NCBI Summary:
Mitochondrial complex IV, or cytochrome c oxidase, is a large transmembrane protein complex that is part of the respiratory electron transport chain of mitochondria. The small protein encoded by this gene plays a role in the biogenesis of mitochondrial complex IV. This protein localizes to the inner mitochondrial membrane and is exposed to the intermembrane space. Mutations in this gene are associated with mitochondrial complex IV deficiency. This gene has a pseudogene on chromosome 3. Alternative splicing results in multiple transcript variants. [provided by RefSeq, Apr 2014]