The TCAF2 Polyclonal Antibody (PAC060689) is a valuable tool for researchers studying TCAF2, a protein implicated in various cellular processes. This antibody, generated in a rabbit, demonstrates high reactivity with human samples and is suitable for use in Western blot applications. By binding specifically to the TCAF2 protein, this antibody enables precise detection and analysis in a variety of cell types, making it an essential reagent for studies in molecular biology, cell signaling, and disease mechanisms.TCAF2, also known as Tricalbin 2, is a multifunctional protein involved in calcium signaling, membrane trafficking, and protein transport within cells.
Its diverse roles make it a promising target for research into neurological disorders, metabolic diseases, and cellular homeostasis. Investigating the functions of TCAF2 can provide critical insights into cellular pathways and potential therapeutic interventions for related conditions.Overall, the TCAF2 Polyclonal Antibody (PAC060689) offers a reliable tool for researchers seeking to unravel the complexities of TCAF2 biology and its implications in health and disease. Its specificity and sensitivity in detecting TCAF2 make it an indispensable asset for advancing scientific knowledge and exploring novel therapeutic avenues.
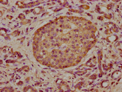
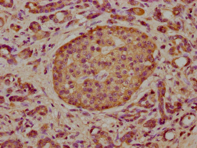
IHC image of PACO60689 diluted at 1:300 and staining in paraffin-embedded human pancreatic cancer performed on a Leica BondTM system. After dewaxing and hydration, antigen retrieval was mediated by high pressure in a citrate buffer (pH 6.0). Section was blocked with 10% normal goat serum 30min at RT. Then primary antibody (1% BSA) was incubated at 4°C overnight. The primary is detected by a biotinylated secondary antibody and visualized using an HRP conjugated SP system.
Immunofluorescence staining of Hela cells with PACO60689 at 1:100, counter-stained with DAPI. The cells were fixed in 4% formaldehyde, permeabilized using 0.2% Triton X-100 and blocked in 10% normal Goat Serum. The cells were then incubated with the antibody overnight at 4°C. The secondary antibody was Alexa Fluor 488-congugated AffiniPure Goat Anti-Rabbit IgG(H+L).
IHC image of PACO60689 diluted at 1:300 and staining in paraffin-embedded human liver cancer performed on a Leica BondTM system. After dewaxing and hydration, antigen retrieval was mediated by high pressure in a citrate buffer (pH 6.0). Section was blocked with 10% normal goat serum 30min at RT. Then primary antibody (1% BSA) was incubated at 4°C overnight. The primary is detected by a biotinylated secondary antibody and visualized using an HRP conjugated SP system.
Background:
Isoform 2: Negatively regulates the plasma membrane cation channel TRPM8 activity. Involved in the recruitment of TRPM8 to the cell surface. Promotes prostate cancer cell migration stimulation in a TRPM8-dependent manner.
Isoform 2: Negatively regulates the plasma membrane cation channel TRPM8 activity. Involved in the recruitment of TRPM8 to the cell surface. Promotes prostate cancer cell migration stimulation in a TRPM8-dependent manner.
TRP channel-associated factor 21 PublicationManual assertion based on opinion iniRef.7"TRP channel-associated factors are a novel protein family that regulates TRPM8 trafficking and activity."Gkika D., Lemonnier L., Shapovalov G., Gordienko D., Poux C., Bernardini M., Bokhobza A., Bidaux G., Degerny C., Verreman K., Guarmit B., Benahmed M., de Launoit Y., Bindels R.J., Fiorio Pla A., Prevarskaya N.J. Cell Biol. 208:89-107(2015) [PubMed] [Europe PMC] [Abstract]Cited for: FUNCTION (ISOFORM 2), INTERACTION WITH TRPM8 AND TRPV6, SUBCELLULAR LOCATION, TISSUE SPECIFICITY.