The SETD5 Antibody (CAB7304) is a high-quality antibody developed for reliable detection and analysis of target proteins. This antibody, raised in rabbits, exhibits high specificity and sensitivity for detecting SETD5 in human samples, making it ideal for use in Western blot applications.SETD5 plays a critical role in epigenetic regulation, impacting gene expression and ultimately influencing cell function and development.
This antibody is validated for use in WB, IHC-P, IF/ICC, ELISA applications and has demonstrated reactivity against Human, Mouse, Rat samples.
Product Name:
SETD5 Antibody
SKU:
CAB7304
Size:
20μL, 100μL
Reactivity:
Human, Mouse, Rat
Conjugate:
Unconjugated
Immunogen:
Recombinant protein (or fragment).This information is considered to be commercially sensitive.
Recommended starting concentration is 1 μg/mL. Please optimize the concentration based on your specific assay requirements.
Synonyms:
MRD23, SETD5A, SETD5
Positive Sample:
Mouse liver, Rat liver
Cellular Localization:
Nucleoplasm, Nucleus.
Calculated MW:
158kDa
Observed MW:
158kDa
This function of this gene has yet to be determined but based on sequence similarity to other SET domain proteins it may function as a histone methyltransferase. Mutations in this gene have been associated with an autosomal dominant form of intellectual disability. Alternative splicing results in multiple transcript variants encoding different isoforms.
Purification Method
Affinity purification
Gene ID
55209
RRID
AB_2767845
Buffer Information
Store at -20℃. Avoid freeze / thaw cycles. Buffer: PBS containing 50% glycerol, preserved with proclin300 or sodium azide, pH 7.3.
Western blot analysis of various lysates using SETD5 Rabbit pAb (CAB7304) at 1:1000 dilution. Secondary antibody: HRP-conjugated Goat anti-Rabbit IgG (H+L) (CABS014) at 1:10000 dilution. Lysates/proteins: 25μg per lane. Blocking buffer: 3% nonfat dry milk in TBST. Detection: ECL Basic Kit (AbGn00020). Exposure time: 3s.
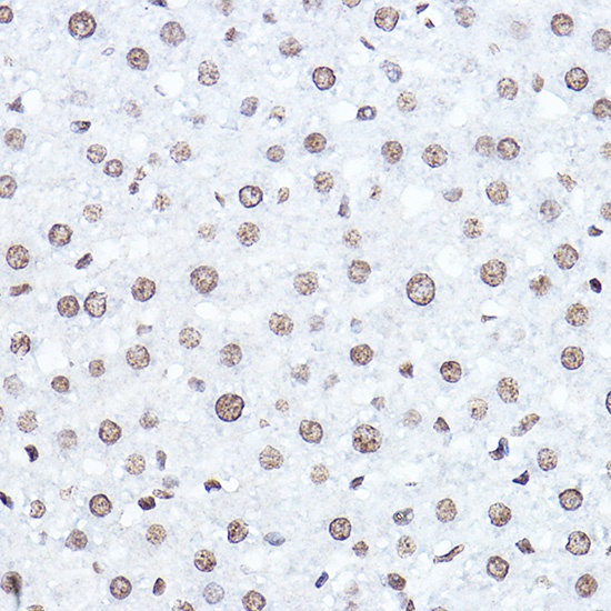
Immunohistochemistry analysis of paraffin-embedded Rat liver using SETD5 Rabbit pAb (CAB7304) at dilution of 1:100 (40x lens). Microwave antigen retrieval performed with 0.01M Tris/EDTA Buffer (pH 9.0) prior to IHC staining.