The ACAD9 Antibody (CAB7798) is a high-quality antibody developed for reliable detection and analysis of target proteins. This gene encodes a member of the acyl-CoA dehydrogenase family. Members of this family of proteins localize to the mitochondria and catalyze the rate-limiting step in the beta-oxidation of fatty acyl-CoA. The encoded protein is specifically active toward palmitoyl-CoA and long-chain unsaturated substrates. Mutations in this gene cause acyl-CoA dehydrogenase family member type 9 deficiency. Alternate splicing results in multiple transcript variants. RRID AB_2768195 Gene ID 28976 Swiss Prot Synonym NPD002; MC1DN20; ACAD9
This antibody is validated for use in WB, ELISA applications and has demonstrated reactivity against Human, Mouse samples.
Product Name:
ACAD9 Antibody
SKU:
CAB7798
Size:
100μL, 20μL
Reactivity:
Human, Mouse
Clone Number:
-
Conjugate:
Unconjugated
Immunogen:
Recombinant protein (or fragment).This information is considered to be commercially sensitive.
Tested Applications:
WBELISA
Recommended Dilution:
WB
1:500 - 1:2000
ELISA
Recommended starting concentration is 1 μg/mL. Please optimize the concentration based on your specific assay requirements.
This gene encodes a member of the acyl-CoA dehydrogenase family. Members of this family of proteins localize to the mitochondria and catalyze the rate-limiting step in the beta-oxidation of fatty acyl-CoA. The encoded protein is specifically active toward palmitoyl-CoA and long-chain unsaturated substrates. Mutations in this gene cause acyl-CoA dehydrogenase family member type 9 deficiency. Alternate splicing results in multiple transcript variants. RRID AB_2768195 Gene ID 28976 Swiss Prot Synonym NPD002; MC1DN20; ACAD9
Purification Method:
Affinity purification
Gene ID:
28976
RRID:
AB_2768195
Buffer Information:
Store at -20℃. Avoid freeze / thaw cycles. Buffer: PBS containing 50% glycerol, preserved with proclin300 or sodium azide, pH 7.3.
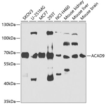
Western blot analysis of various lysates using ACAD9 Rabbit pAb (CAB7798) at 1:1000 dilution. Secondary antibody: HRP-conjugated Goat anti-Rabbit IgG (H+L) (AS014) at 1:10000 dilution. Lysates/proteins: 25μg per lane. Blocking buffer: 3% nonfat dry milk in TBST. Detection: ECL Basic Kit (AbGn00020). Exposure time: 90s.