The Annexin A11 Monoclonal Antibody (CAB20841) is a high-quality antibody developed for reliable detection and analysis of target proteins. This gene encodes a member of the annexin family, a group of calcium-dependent phospholipid-binding proteins. Annexins have unique N-terminal domains and conserved C-terminal domains, which contain calcium-dependent phospholipid-binding sites. The encoded protein is a 56-kD antigen recognized by sera from patients with various autoimmune diseases. Several transcript variants encoding two different isoforms have been identified. RRID Gene ID 311 Swiss Prot Synonym ALS23; ANX11; CAP50; CAP-50; IBMWMA; Annexin A11
This antibody is validated for use in WB, ELISA applications and has demonstrated reactivity against Human, Mouse samples.
Product Name:
Annexin A11 Monoclonal Antibody
SKU:
CAB20841
Size:
100μL, 20μL
Reactivity:
Human, Mouse
Clone Number:
ARC51481
Conjugate:
Unconjugated
Immunogen:
Recombinant protein (or fragment).This information is considered to be commercially sensitive.
Tested Applications:
WBELISA
Recommended Dilution:
WB
1:500 - 1:1000
ELISA
Recommended starting concentration is 1 μg/mL. Please optimize the concentration based on your specific assay requirements.
This gene encodes a member of the annexin family, a group of calcium-dependent phospholipid-binding proteins. Annexins have unique N-terminal domains and conserved C-terminal domains, which contain calcium-dependent phospholipid-binding sites. The encoded protein is a 56-kD antigen recognized by sera from patients with various autoimmune diseases. Several transcript variants encoding two different isoforms have been identified. RRID Gene ID 311 Swiss Prot Synonym ALS23; ANX11; CAP50; CAP-50; IBMWMA; Annexin A11
Purification Method:
Affinity purification
Gene ID:
311
RRID:
-
Buffer Information:
Store at -20℃. Avoid freeze / thaw cycles. Buffer: PBS containing 50% glycerol and 0.05% BSA, preserved with proclin300 or sodium azide, pH 7.3.
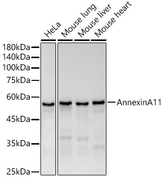
Western blot analysis of various lysates, using Annexin A11 Rabbit mAb (CAB20841) at 1:1000 dilution. Secondary antibody: HRP-conjugated Goat anti-Rabbit IgG (H+L) (AS014) at 1:10000 dilution. Lysates/proteins: 25μg per lane. Blocking buffer: 3% nonfat dry milk in TBST. Detection: ECL Basic Kit (AbGn00020). Exposure time: 20s.