The Phospho-VANGL2-T78/S79/S82 Monoclonal Antibody (CABP1206) is a high-quality antibody developed for reliable detection and analysis of target proteins. The protein encoded by this gene is a membrane protein involved in the regulation of planar cell polarity, especially in the stereociliary bundles of the cochlea. The encoded protein transmits directional signals to individual cells or groups of cells in epithelial sheets. This protein is also involved in the development of the neural plate.
This antibody is validated for use in WB, ELISA applications and has demonstrated reactivity against Human, Mouse, Rat samples.
Product Name:
Phospho-VANGL2-T78/S79/S82 Monoclonal Antibody
SKU:
CABP1206
Size:
100μL, 20μL
Reactivity:
Human, Mouse, Rat
Clone Number:
ARC5008-03
Conjugate:
Unconjugated
Immunogen:
Synthetic peptide. This information is considered to be commercially sensitive.
Tested Applications:
WBELISA
Recommended Dilution:
WB
1:500 - 1:1000
ELISA
Recommended starting concentration is 1 μg/mL. Please optimize the concentration based on your specific assay requirements.
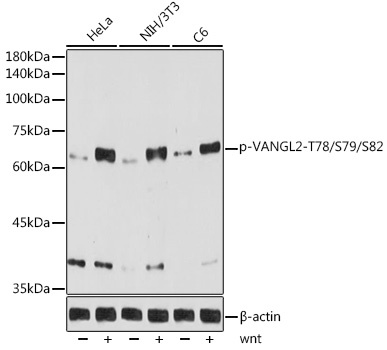
HeLa treated with wnt, NIH/3T3 treated with wnt, C6 treated with wnt
Cellular Localization:
Cell Membrane, Multi-Pass Membrane Protein.
Calculated MW:
60kDa
Observed MW:
60kDa
The protein encoded by this gene is a membrane protein involved in the regulation of planar cell polarity, especially in the stereociliary bundles of the cochlea. The encoded protein transmits directional signals to individual cells or groups of cells in epithelial sheets. This protein is also involved in the development of the neural plate.
Purification Method
Affinity purification
Gene ID
57216
Buffer Information
Store at -20℃. Avoid freeze / thaw cycles. Buffer: PBS containing 50% glycerol and 0.05% BSA, preserved with proclin300 or sodium azide, pH 7.3.
Western blot analysis of various lysates using Phospho-VANGL2-T78/S79/S82 Rabbit mAb (CABP1206) at 1:1000 dilution. HeLa cells and NIH/3T3 cells and C6 cells were treated with wnt(100ng/ml) for 30 minutes. Secondary antibody: HRP-conjugated Goat anti-Rabbit IgG (H+L) (AS014) at 1:10000 dilution. Lysates/proteins: 25μg per lane. Blocking buffer: 3% nonfat dry milk in TBST. Detection: ECL Basic Kit (AbGn00020). Exposure time: 60s.