The Syntaxin 3 Monoclonal Antibody (CAB3712) is a high-quality antibody developed for reliable detection and analysis of target proteins. The gene is a member of the syntaxin family. The encoded protein is targeted to the apical membrane of epithelial cells where it forms clusters and is important in establishing and maintaining polarity necessary for protein trafficking involving vesicle fusion and exocytosis. Alternative splicing results in multiple transcript variants.
This antibody is validated for use in WB, IHC-P, ELISA applications and has demonstrated reactivity against Human, Mouse, Rat samples.
Product Name:
Syntaxin 3 Monoclonal Antibody
SKU:
CAB3712
Size:
100μL, 20μL
Reactivity:
Human, Mouse, Rat
Clone Number:
ARC2081
Conjugate:
Unconjugated
Immunogen:
Synthetic peptide. This information is considered to be commercially sensitive.
Tested Applications:
WBIHC-PELISA
Recommended Dilution:
WB
1:500 - 1:2000
IHC-P
1:50 - 1:200
ELISA
Recommended starting concentration is 1 μg/mL. Please optimize the concentration based on your specific assay requirements.
Synonyms:
MVID2, STX3A, DIAR12, RDMVID, Syntaxin 3
Positive Sample:
HT-29, 293T, PC-12
Cellular Localization:
Membrane, Single-Pass Type Iv Membrane Protein.
Calculated MW:
33kDa
Observed MW:
33kDa
The gene is a member of the syntaxin family. The encoded protein is targeted to the apical membrane of epithelial cells where it forms clusters and is important in establishing and maintaining polarity necessary for protein trafficking involving vesicle fusion and exocytosis. Alternative splicing results in multiple transcript variants.
Purification Method
Affinity purification
Gene ID
6809
RRID
AB_2863127
Buffer Information
Store at -20℃. Avoid freeze / thaw cycles. Buffer: PBS containing 50% glycerol and 0.05% BSA, preserved with proclin300 or sodium azide, pH 7.3.
Western blot analysis of various lysates using Syntaxin 3 Rabbit mAb (CAB3712) at 1:1000 dilution. Secondary antibody: HRP-conjugated Goat anti-Rabbit IgG (H+L) (AS014) at 1:10000 dilution. Lysates/proteins: 25μg per lane. Blocking buffer: 3% nonfat dry milk in TBST. Detection: ECL Basic Kit (AbGn00020). Exposure time: 3min.
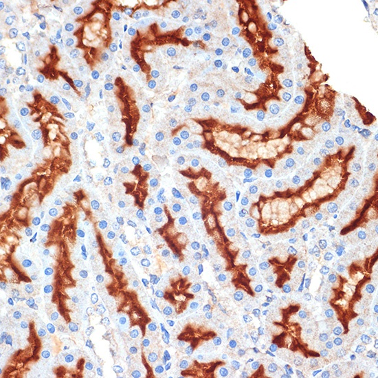
Immunohistochemistry analysis of paraffin-embedded Rat kidney using Syntaxin 3 Rabbit mAb (CAB3712) at dilution of 1:100 (40x lens). Microwave antigen retrieval performed with 0.01M Tris/EDTA Buffer (pH 9.0) prior to IHC staining.