The TrkA+B+C Monoclonal Antibody (CAB2693) is a high-quality antibody developed for reliable detection and analysis of target proteins. This gene encodes a member of the neurotrophic tyrosine kinase receptor (NTKR) family. This kinase is a membrane-bound receptor that, upon neurotrophin binding, phosphorylates itself and members of the MAPK pathway. The presence of this kinase leads to cell differentiation and may play a role in specifying sensory neuron subtypes. Mutations in this gene have been associated with congenital insensitivity to pain, anhidrosis, self-mutilating behavior, cognitive disability and cancer. Alternate transcriptional splice variants of this gene have been found, but only three have been characterized to date.This gene encodes a member of the neurotrophic tyrosine receptor kinase (NTRK) family. This kinase is a membrane-bound receptor that, upon neurotrophin binding, phosphorylates itself and members of the MAPK pathway. Signalling through this kinase leads to cell differentiation and may play a role in the development of proprioceptive neurons that sense body position. Mutations in this gene have been associated with medulloblastomas, secretory breast carcinomas and other cancers. Several transcript variants encoding different isoforms have been found for this gene. This gene encodes a member of the neurotrophic tyrosine receptor kinase (NTRK) family. This kinase is a membrane-bound receptor that, upon neurotrophin binding, phosphorylates itself and members of the MAPK pathway. Signalling through this kinase leads to cell differentiation. Mutations in this gene have been associated with obesity and mood disorders. Alternative splicing results in multiple transcript variants.
This antibody is validated for use in WB, IHC-P, ELISA applications and has demonstrated reactivity against Human, Mouse, Rat samples.
Product Name:
TrkA+B+C Monoclonal Antibody
SKU:
CAB2693
Size:
100μL, 20μL
Reactivity:
Human, Mouse, Rat
Clone Number:
ARC2649
Conjugate:
Unconjugated
Immunogen:
Synthetic peptide. This information is considered to be commercially sensitive.
Tested Applications:
WBIHC-PELISA
Recommended Dilution:
WB
1:7000 - 1:20000
IHC-P
1:50 - 1:200
ELISA
Recommended starting concentration is 1 μg/mL. Please optimize the concentration based on your specific assay requirements.
Axon, Dendrite, Early Endosome, Late Endosome, Plasma Membrane.
Calculated MW:
140kDa
Observed MW:
140 kDa
This gene encodes a member of the neurotrophic tyrosine kinase receptor (NTKR) family. This kinase is a membrane-bound receptor that, upon neurotrophin binding, phosphorylates itself and members of the MAPK pathway. The presence of this kinase leads to cell differentiation and may play a role in specifying sensory neuron subtypes. Mutations in this gene have been associated with congenital insensitivity to pain, anhidrosis, self-mutilating behavior, cognitive disability and cancer. Alternate transcriptional splice variants of this gene have been found, but only three have been characterized to date.This gene encodes a member of the neurotrophic tyrosine receptor kinase (NTRK) family. This kinase is a membrane-bound receptor that, upon neurotrophin binding, phosphorylates itself and members of the MAPK pathway. Signalling through this kinase leads to cell differentiation and may play a role in the development of proprioceptive neurons that sense body position. Mutations in this gene have been associated with medulloblastomas, secretory breast carcinomas and other cancers. Several transcript variants encoding different isoforms have been found for this gene. This gene encodes a member of the neurotrophic tyrosine receptor kinase (NTRK) family. This kinase is a membrane-bound receptor that, upon neurotrophin binding, phosphorylates itself and members of the MAPK pathway. Signalling through this kinase leads to cell differentiation. Mutations in this gene have been associated with obesity and mood disorders. Alternative splicing results in multiple transcript variants.
Purification Method
Affinity purification
Gene ID
4914 4916 4915
Buffer Information
Store at -20℃. Avoid freeze / thaw cycles. Buffer: PBS containing 50% glycerol and 0.05% BSA, preserved with proclin300 or sodium azide, pH 7.3.
Western blot analysis of various lysates using TrkA+B+C Rabbit mAb (CAB2693) at 1:7000 dilution incubated overnight at 4℃. Secondary antibody: HRP-conjugated Goat anti-Rabbit IgG (H+L) (AS014) at 1:10000 dilution. Lysates/proteins: 25 μg per lane. Blocking buffer: 3% nonfat dry milk in TBST. Detection: ECL Basic Kit (AbGn00020). Negative control (NC): HeLa. Exposure time: 45 s.
Western blot analysis of various lysates using TrkA+B+C Rabbit mAb (CAB2693) at 1:15000 dilution incubated overnight at 4℃. Secondary antibody: HRP-conjugated Goat anti-Rabbit IgG (H+L) (AS014) at 1:10000 dilution. Lysates/proteins: 25 μg per lane. Blocking buffer: 3% nonfat dry milk in TBST. Detection: ECL Basic Kit (AbGn00020). Exposure time: 10 s.
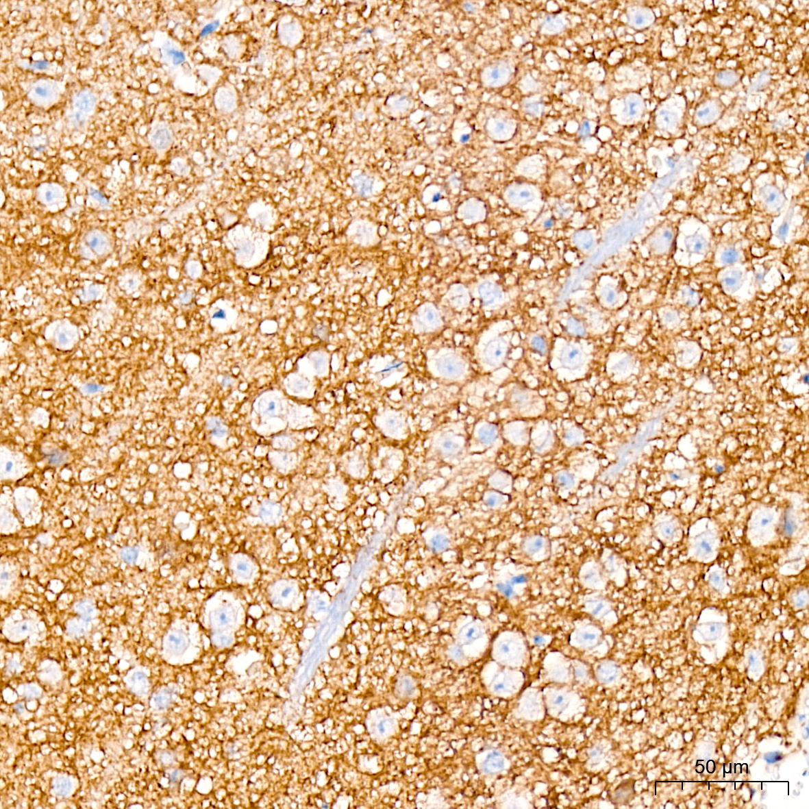
Immunohistochemistry analysis of paraffin-embedded Human brain tissue using TrkA+B+C Rabbit mAb (CAB2693) at a dilution of 1:200 (40x lens). High pressure antigen retrieval was performed with 0.01 M citrate buffer (pH 6.0) prior to IHC staining.
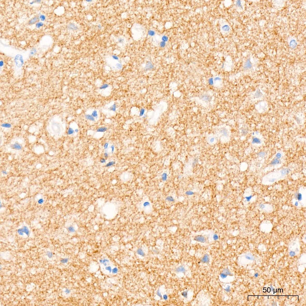
Immunohistochemistry analysis of paraffin-embedded Mouse brain tissue using TrkA+B+C Rabbit mAb (CAB2693) at a dilution of 1:200 (40x lens). High pressure antigen retrieval was performed with 0.01 M citrate buffer (pH 6.0) prior to IHC staining.