The VEGF-D Monoclonal Antibody (CAB19242) is a high-quality antibody developed for reliable detection and analysis of target proteins. The protein encoded by this gene is a member of the platelet-derived growth factor/vascular endothelial growth factor (PDGF/VEGF) family and is active in angiogenesis, lymphangiogenesis, and endothelial cell growth. This secreted protein undergoes a complex proteolytic maturation, generating multiple processed forms which bind and activate VEGFR-2 and VEGFR-3 receptors. This protein is structurally and functionally similar to vascular endothelial growth factor C. Read-through transcription has been observed between this locus and the upstream PIR (GeneID 8544) locus. RRID Gene ID 2277 Swiss Prot Synonym FIGF; VEGF-D
This antibody is validated for use in WB, ELISA applications and has demonstrated reactivity against Human, Mouse, Rat samples.
Product Name:
VEGF-D Monoclonal Antibody
SKU:
CAB19242
Size:
100μL, 20μL
Reactivity:
Human, Mouse, Rat
Clone Number:
ARC2402
Conjugate:
Unconjugated
Immunogen:
Synthetic peptide. This information is considered to be commercially sensitive.
Tested Applications:
WBELISA
Recommended Dilution:
WB
1:500 - 1:1000
ELISA
Recommended starting concentration is 1 μg/mL. Please optimize the concentration based on your specific assay requirements.
Synonyms:
FIGF, VEGF-D
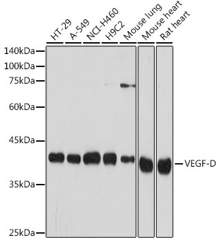
Positive Sample:
HT-29, A549, NCI-H460, H9C2, Mouse lung, Mouse heart, Rat heart
Cellular Localization:
Secreted.
Calculated MW:
40kDa
Observed MW:
40kDa
The protein encoded by this gene is a member of the platelet-derived growth factor/vascular endothelial growth factor (PDGF/VEGF) family and is active in angiogenesis, lymphangiogenesis, and endothelial cell growth. This secreted protein undergoes a complex proteolytic maturation, generating multiple processed forms which bind and activate VEGFR-2 and VEGFR-3 receptors. This protein is structurally and functionally similar to vascular endothelial growth factor C. Read-through transcription has been observed between this locus and the upstream PIR (GeneID 8544) locus. RRID Gene ID 2277 Swiss Prot Synonym FIGF; VEGF-D
Purification Method:
Affinity purification
Gene ID:
2277
RRID:
-
Buffer Information:
Store at -20℃. Avoid freeze / thaw cycles. Buffer: PBS containing 50% glycerol and 0.05% BSA, preserved with proclin300 or sodium azide, pH 7.3.
Western blot analysis of various lysates using VEGF-D Rabbit mAb (CAB19242) at 1:1000 dilution. Secondary antibody: HRP-conjugated Goat anti-Rabbit IgG (H+L) (AS014) at 1:10000 dilution. Lysates/proteins: 25μg per lane. Blocking buffer: 3% nonfat dry milk in TBST. Detection: ECL Basic Kit (AbGn00020). Exposure time: 10s.