The ARAP3 Polyclonal Antibody (PAC052542) is a vital tool for researchers studying the ARAP3 protein, a key player in multiple cellular processes, including cell migration and adhesion. This antibody, produced in rabbits, exhibits high specificity towards human samples and has been validated for use in Western blot applications. By binding to the ARAP3 protein, this antibody enables precise detection and analysis in a variety of cell types, making it an essential component for studies in cell biology and cancer research.
ARAP3, also known as Arf-GAP with Rho-GAP domain, plays a crucial role in regulating intracellular signaling pathways that control cell movement and shape. Its involvement in these processes makes it a significant target for investigation in diseases such as cancer, where aberrant cell migration and adhesion contribute to tumor progression. Understanding the function of ARAP3 is instrumental in developing novel therapeutic approaches aimed at targeting these pathways for treatment.
Antibody Name:
ARAP3 Antibody (PACO52542)
Antibody SKU:
PACO52542
Size:
50ug
Host Species:
Rabbit
Tested Applications:
ELISA, IHC
Recommended Dilutions:
ELISA:1:2000-1:10000, IHC:1:20-1:200
Species Reactivity:
Human
Immunogen:
Recombinant Human Arf-GAP with Rho-GAP domain, ANK repeat and PH domain-containing protein 3 protein (163-320AA)
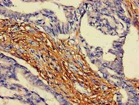
Immunohistochemistry of paraffin-embedded human melanoma using PACO52542 at dilution of 1:100.
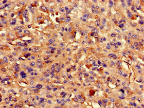
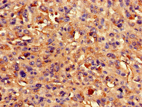
Immunohistochemistry of paraffin-embedded human colon cancer using PACO52542 at dilution of 1:100.
Background:
Phosphatidylinositol 3,4,5-trisphosphate-dependent GTPase-activating protein that modulates actin cytoskeleton remodeling by regulating ARF and RHO family members. Is activated by phosphatidylinositol 3,4,5-trisphosphate (PtdIns(3,4,5)P3) binding. Can be activated by phosphatidylinositol 3,4-bisphosphate (PtdIns(3,4,5)P2) binding, albeit with lower efficiency. Acts on ARF6, RAC1, RHOA and CDC42. Plays a role in the internalization of anthrax toxin.
Synonyms:
Arf-GAP with Rho-GAP domain, ANK repeat and PH domain-containing protein 3 (Centaurin-delta-3) (Cnt-d3), ARAP3, CENTD3
UniProt Protein Function:
ARAP3: Phosphatidylinositol 3,4,5-trisphosphate-dependent GTPase-activating protein that modulates actin cytoskeleton remodeling by regulating ARF and RHO family members. Is activated by phosphatidylinositol 3,4,5-trisphosphate (PtdIns(3,4,5)P3) binding. Can be activated by phosphatidylinositol 3,4-bisphosphate (PtdIns(3,4,5)P2) binding, albeit with lower efficiency. Acts on ARF6, RAC1, RHOA and CDC42. Plays a role in the internalization of anthrax toxin.Protein type: GAPs, ARF; Motility/polarity/chemotaxis; GAPsChromosomal Location of Human Ortholog: 5q31.3Cellular Component: ruffle; cytoskeleton; lamellipodium; cytoplasm; plasma membrane; cytosolMolecular Function: protein binding; phosphatidylinositol-3,4,5-triphosphate binding; zinc ion binding; phosphatidylinositol-3,4-bisphosphate bindingBiological Process: vesicle-mediated transport; negative regulation of Rac protein signal transduction; regulation of cell shape; regulation of small GTPase mediated signal transduction; negative regulation of Rho protein signal transduction; small GTPase mediated signal transduction; cytoskeleton organization and biogenesis; negative regulation of cell migration
UniProt Protein Details:
NCBI Summary:
This gene encodes a phosphoinositide binding protein containing ARF-GAP, RHO-GAP, RAS-associating, and pleckstrin homology domains. The ARF-GAP and RHO-GAP domains cooperate in mediating rearrangements in the cell cytoskeleton and cell shape. It is a specific PtdIns(3,4,5)P3/PtdIns(3,4)P2-stimulated Arf6-GAP protein. An alternatively spliced transcript has been found for this gene, but its biological validity has not been determined. [provided by RefSeq, Sep 2008]
Homo sapiens ArfGAP with RhoGAP domain, ankyrin repeat and PH domain 3, mRNA
NCBI Synonym Full Names:
ArfGAP with RhoGAP domain, ankyrin repeat and PH domain 3
NCBI Official Symbol:
ARAP3Â Â
NCBI Official Synonym Symbols:
DRAG1; CENTD3Â Â
NCBI Protein Information:
arf-GAP with Rho-GAP domain, ANK repeat and PH domain-containing protein 3; ARF-GAP, RHO-GAP, ankyrin repeat and plekstrin homology domains-containing protein 3; Arf and Rho GAP adapter protein 3; PtdIns(3,4,5)P3-binding protein; centaurin, delta 3; centaurin-delta-3; cnt-d3; phosphoinositide binding protein
UniProt Protein Name:
Arf-GAP with Rho-GAP domain, ANK repeat and PH domain-containing protein 3
UniProt Synonym Protein Names:
Centaurin-delta-3; Cnt-d3
Protein Family:
Arf-GAP with Rho-GAP domain, ANK repeat and PH domain-containing protein