The BCR Antibody (CAB0068) is a high-quality antibody developed for reliable detection and analysis of target proteins. A reciprocal translocation between chromosomes 22 and 9 produces the Philadelphia chromosome, which is often found in patients with chronic myelogenous leukemia. The chromosome 22 breakpoint for this translocation is located within the BCR gene. The translocation produces a fusion protein which is encoded by sequence from both BCR and ABL, the gene at the chromosome 9 breakpoint. Although the BCR-ABL fusion protein has been extensively studied, the function of the normal BCR gene product is not clear. The unregulated tyrosine kinase activity of BCR-ABL1 contributes to the immortality of leukaemic cells. The BCR protein has serine/threonine kinase activity and is a GTPase-activating protein for p21rac and other kinases. Two transcript variants encoding different isoforms have been found for this gene. RRID AB_2756929 Gene ID 613 Swiss Prot Synonym ALL; CML; PHL; BCR1; D22S11; D22S662; BCR
This antibody is validated for use in WB, IHC-P, ELISA applications and has demonstrated reactivity against Human, Mouse, Rat samples.
Product Name:
BCR Antibody
SKU:
CAB0068
Size:
100μL, 20μL
Reactivity:
Human, Mouse, Rat
Clone Number:
-
Conjugate:
Unconjugated
Immunogen:
Recombinant protein (or fragment).This information is considered to be commercially sensitive.
Tested Applications:
WBIHC-PELISA
Recommended Dilution:
WB
1:500 - 1:2000
IHC-P
1:50 - 1:100
ELISA
Recommended starting concentration is 1 μg/mL. Please optimize the concentration based on your specific assay requirements.
A reciprocal translocation between chromosomes 22 and 9 produces the Philadelphia chromosome, which is often found in patients with chronic myelogenous leukemia. The chromosome 22 breakpoint for this translocation is located within the BCR gene. The translocation produces a fusion protein which is encoded by sequence from both BCR and ABL, the gene at the chromosome 9 breakpoint. Although the BCR-ABL fusion protein has been extensively studied, the function of the normal BCR gene product is not clear. The unregulated tyrosine kinase activity of BCR-ABL1 contributes to the immortality of leukaemic cells. The BCR protein has serine/threonine kinase activity and is a GTPase-activating protein for p21rac and other kinases. Two transcript variants encoding different isoforms have been found for this gene. RRID AB_2756929 Gene ID 613 Swiss Prot Synonym ALL; CML; PHL; BCR1; D22S11; D22S662; BCR
Purification Method:
Affinity purification
Gene ID:
613
RRID:
AB_2756929
Buffer Information:
Store at -20℃. Avoid freeze / thaw cycles. Buffer: PBS containing 50% glycerol, preserved with proclin300 or sodium azide, pH 7.3.
Western blot analysis of various lysates using BCR Rabbit pAb (CAB0068) at 1:1000 dilution. Secondary antibody: HRP-conjugated Goat anti-Rabbit IgG (H+L) (AS014) at 1:10000 dilution. Lysates/proteins: 25μg per lane. Blocking buffer: 3% nonfat dry milk in TBST. Detection: ECL Basic Kit (AbGn00020). Exposure time: 30s.
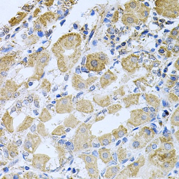
Immunohistochemistry analysis of paraffin-embedded Human stomach using BCR Rabbit pAb (CAB0068) at dilution of 1:100 (40x lens). Microwave antigen retrieval performed with 0.01M PBS Buffer (pH 7.2) prior to IHC staining.