BICC1 Antibody is a premium polyclonal that offers outstanding performance and reliability for demanding research applications. Rigorously validated for ELISA, IHC, IF, this antibody ensures consistent, reproducible results across multiple experimental platforms. Demonstrates excellent reactivity with Human samples, providing researchers with confidence in cross-species compatibility. Conveniently packaged in 50ug format to meet your experimental needs. For optimal performance, store at -20°C or -80°C and maintains stability for 12 months. Backed by rigorous quality control testing to ensure superior performance in your critical research applications.
Product Name:
BICC1 Antibody (PACO61454)
SKU:
PACO61454
Size:
50μg
Isotype:
IgG
Host Species:
Rabbit
Reactivity:
Human
Immunogen:
Recombinant Human Protein bicaudal C homolog 1 protein (682-849AA)
Immunogen Species:
Homo sapiens (Human)
Uniprot No:
Q9H694
Form:
Liquid
Tested Applications:
ELISAIHCIF
Recommended Dilution:
IHC 1:200-1:500, IF 1:50-1:200
Synonyms:
Bic-C antibody, Bicaudal C homolog 1 (Drosophila) antibody, Bicc1 antibody, BICC1_HUMAN antibody, CYSRD antibody, Protein bicaudal C homolog 1 antibody
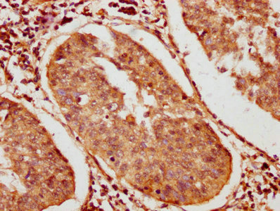
IHC image of PACO61454 diluted at 1:400 and staining in paraffin-embedded human cervical cancer performed on a Leica BondTM system. After dewaxing and hydration, antigen retrieval was mediated by high pressure in a citrate buffer (pH 6.0). Section was blocked with 10% normal goat serum 30min at RT. Then primary antibody (1% BSA) was incubated at 4°C overnight. The primary is detected by a biotinylated secondary antibody and visualized using an HRP conjugated SP system.
Immunofluorescence staining of A549 cells with PACO61454 at 1:133, counter-stained with DAPI. The cells were fixed in 4% formaldehyde, permeabilized using 0.2% Triton X-100 and blocked in 10% normal Goat Serum. The cells were then incubated with the antibody overnight at 4°C. The secondary antibody was Alexa Fluor 488-congugated AffiniPure Goat Anti-Rabbit IgG(H+L).