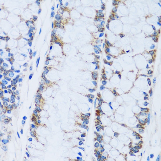
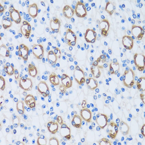
The CA13 Polyclonal Antibody (CAB14467) is a valuable tool for researchers studying the CA13 protein, a member of the carbonic anhydrase family important in regulating pH balance in various tissues and organs. This antibody, produced in rabbits, has been shown to have high reactivity with human samples and is validated for use in Western blot applications, allowing for the detection and analysis of CA13 in different cell types.CA13, also known as carbonic anhydrase 13, plays a crucial role in maintaining acid-base balance in tissues like the brain, kidney, and reproductive organs. Dysregulation of CA13 has been implicated in various diseases, including metabolic disorders, kidney stones, and certain cancers.
By studying the function and expression of CA13, researchers can gain insights into the role of this enzyme in health and disease.With its specificity and reliability, the CA13 Polyclonal Antibody is an essential tool for investigating the function and regulation of the CA13 protein in different biological contexts. Whether studying metabolism, renal function, or cancer biology, this antibody provides a valuable means of exploring the role of CA13 in physiological processes and disease pathology.
Product Name:
CA13 Rabbit Polyclonal Antibody
SKU:
CAB14467
Size:
20uL, 100uL
Isotype:
IgG
Host Species:
Rabbit
Reactivity:
Human,Mouse
Immunogen:
Recombinant fusion protein containing a sequence corresponding to amino acids 1-220 of human CA13 (NP_940986.1).
Predicted to enable carbonate dehydratase activity. Predicted to be involved in one-carbon metabolic process. Predicted to be located in intracellular membrane-bounded organelle and myelin sheath. Predicted to be active in cytosol.
Purification Method:
Affinity purification
Gene ID:
377677
Storage Buffer:
Store at -20℃. Avoid freeze / thaw cycles.Buffer: PBS with 0.01% thimerosal,50% glycerol,pH7.3.
Western blot analysis of various lysates using CA13 Rabbit pAb (CAB14467) at 1:3000 dilution.Secondary antibody: HRP Goat Anti-Rabbit IgG (H+L) (CABS014) at 1:10000 dilution.Lysates/proteins: 25μg per lane.Blocking buffer: 3% nonfat dry milk in TBST.Detection: ECL Basic Kit (AbGn00020).Exposure time: 90s.