The CDH4 Antibody (CAB10557) is a high-quality antibody developed for reliable detection and analysis of target proteins. This gene is a classical cadherin from the cadherin superfamily. The encoded protein is a calcium-dependent cell-cell adhesion glycoprotein comprised of five extracellular cadherin repeats, a transmembrane region and a highly conserved cytoplasmic tail. Based on studies in chicken and mouse, this cadherin is thought to play an important role during brain segmentation and neuronal outgrowth. In addition, a role in kidney and muscle development is indicated. Of particular interest are studies showing stable cis-heterodimers of cadherins 2 and 4 in cotransfected cell lines. Previously thought to interact in an exclusively homophilic manner, this is the first evidence of cadherin heterodimerization. Three transcript variants encoding different isoforms have been found for this gene.
This antibody is validated for use in WB, ELISA applications and has demonstrated reactivity against Human, Mouse, Rat samples.
Product Name:
CDH4 Antibody
SKU:
CAB10557
Size:
100μL, 20μL
Reactivity:
Human, Mouse, Rat
Conjugate:
Unconjugated
Immunogen:
Recombinant protein (or fragment).This information is considered to be commercially sensitive.
Tested Applications:
WBELISA
Recommended Dilution:
WB
1:1000 - 1:2000
ELISA
Recommended starting concentration is 1 μg/mL. Please optimize the concentration based on your specific assay requirements.
Synonyms:
CAD4, RCAD, R-CAD, CDH4
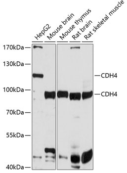
Positive Sample:
HepG2, Mouse brain, Mouse thymus, Rat brain, Rat skeletal muscle
Cellular Localization:
Cell Membrane, Single-Pass Type I Membrane Protein.
Calculated MW:
100kDa
Observed MW:
100kDa/115kDa
This gene is a classical cadherin from the cadherin superfamily. The encoded protein is a calcium-dependent cell-cell adhesion glycoprotein comprised of five extracellular cadherin repeats, a transmembrane region and a highly conserved cytoplasmic tail. Based on studies in chicken and mouse, this cadherin is thought to play an important role during brain segmentation and neuronal outgrowth. In addition, a role in kidney and muscle development is indicated. Of particular interest are studies showing stable cis-heterodimers of cadherins 2 and 4 in cotransfected cell lines. Previously thought to interact in an exclusively homophilic manner, this is the first evidence of cadherin heterodimerization. Three transcript variants encoding different isoforms have been found for this gene.
Purification Method
Affinity purification
Gene ID
1002
RRID
AB_2758099
Buffer Information
Store at -20℃. Avoid freeze / thaw cycles. Buffer: PBS containing 50% glycerol, preserved with proclin300 or sodium azide, pH 7.3.
Western blot analysis of various lysates using CDH4 Rabbit pAb (CAB10557) at 1:1000 dilution. Secondary antibody: HRP-conjugated Goat anti-Rabbit IgG (H+L) (AS014) at 1:10000 dilution. Lysates/proteins: 25μg per lane. Blocking buffer: 3% nonfat dry milk in TBST. Detection: ECL Basic Kit (AbGn00020). Exposure time: 10s.