The CCT7 Antibody (CAB12146) is a high-quality antibody developed for reliable detection and analysis of target proteins. This gene encodes a molecular chaperone that is a member of the chaperonin containing TCP1 complex (CCT), also known as the TCP1 ring complex (TRiC). This complex consists of two identical stacked rings, each containing eight different proteins. Unfolded polypeptides enter the central cavity of the complex and are folded in an ATP-dependent manner. The complex folds various proteins, including actin and tubulin. Alternative splicing results in multiple transcript variants. Related pseudogenes have been identified on chromosomes 5 and 6.
This antibody is validated for use in WB, ELISA applications and has demonstrated reactivity against Human, Mouse, Rat samples.
Product Name:
CCT7 Antibody
SKU:
CAB12146
Size:
100μL, 20μL
Reactivity:
Human, Mouse, Rat
Conjugate:
Unconjugated
Immunogen:
Recombinant protein (or fragment).This information is considered to be commercially sensitive.
Tested Applications:
WBELISA
Recommended Dilution:
WB
1:500 - 1:2000
ELISA
Recommended starting concentration is 1 μg/mL. Please optimize the concentration based on your specific assay requirements.
Synonyms:
CCTH, CCTETA, NIP7-1, TCP1ETA, CCT7
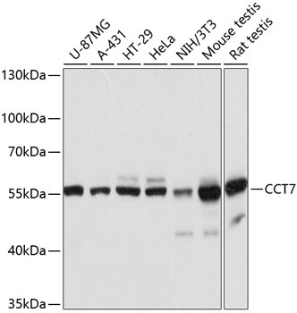
Positive Sample:
U-87MG, A-431, HT-29, HeLa, NIH/3T3, Mouse testis, Rat testis
Cellular Localization:
Cytoplasm.
Calculated MW:
59kDa
Observed MW:
55kDa
This gene encodes a molecular chaperone that is a member of the chaperonin containing TCP1 complex (CCT), also known as the TCP1 ring complex (TRiC). This complex consists of two identical stacked rings, each containing eight different proteins. Unfolded polypeptides enter the central cavity of the complex and are folded in an ATP-dependent manner. The complex folds various proteins, including actin and tubulin. Alternative splicing results in multiple transcript variants. Related pseudogenes have been identified on chromosomes 5 and 6.
Purification Method
Affinity purification
Gene ID
10574
RRID
AB_2759034
Buffer Information
Store at -20℃. Avoid freeze / thaw cycles. Buffer: PBS with 0.01% thimerosal,50% glycerol,pH7.3.
Western blot analysis of various lysates using CCT7 Rabbit pAb (CAB12146) at 1:3000 dilution. Secondary antibody: HRP-conjugated Goat anti-Rabbit IgG (H+L) (AS014) at 1:10000 dilution. Lysates/proteins: 25μg per lane. Blocking buffer: 3% nonfat dry milk in TBST. Detection: ECL Basic Kit (AbGn00020). Exposure time: 1s.