The CDCA8 Antibody (CAB12594) is a high-quality antibody developed for reliable detection and analysis of target proteins. This gene encodes a component of the chromosomal passenger complex. This complex is an essential regulator of mitosis and cell division. This protein is cell-cycle regulated and is required for chromatin-induced microtubule stabilization and spindle formation. Alternate splicing results in multiple transcript variants. Pseudgenes of this gene are found on chromosomes 7, 8 and 16. RRID AB_2759436 Gene ID 55143 Swiss Prot Synonym BOR; DasraB; MESRGP; BOREALIN; CDCA8
This antibody is validated for use in WB, IHC-P, ELISA applications and has demonstrated reactivity against Human, Mouse, Rat samples.
Product Name:
CDCA8 Antibody
SKU:
CAB12594
Size:
100μL, 20μL
Reactivity:
Human, Mouse, Rat
Conjugate:
Unconjugated
Immunogen:
Recombinant protein (or fragment).This information is considered to be commercially sensitive.
Tested Applications:
WBIHC-PELISA
Recommended Dilution:
WB
1:500 - 1:1000
IHC-P
1:50 - 1:100
ELISA
Recommended starting concentration is 1 μg/mL. Please optimize the concentration based on your specific assay requirements.
This gene encodes a component of the chromosomal passenger complex. This complex is an essential regulator of mitosis and cell division. This protein is cell-cycle regulated and is required for chromatin-induced microtubule stabilization and spindle formation. Alternate splicing results in multiple transcript variants. Pseudgenes of this gene are found on chromosomes 7, 8 and 16. RRID AB_2759436 Gene ID 55143 Swiss Prot Synonym BOR; DasraB; MESRGP; BOREALIN; CDCA8
Purification Method
Affinity purification
Gene ID
55143
RRID
AB_2759436
Buffer Information
Store at -20℃. Avoid freeze / thaw cycles. Buffer: PBS containing 50% glycerol, preserved with proclin300 or sodium azide, pH 7.3.
Western blot analysis of lysates from Mouse testis, using CDCA8 Rabbit pAb (CAB12594) at 1:1000 dilution. Secondary antibody: HRP-conjugated Goat anti-Rabbit IgG (H+L) (AS014) at 1:10000 dilution. Lysates/proteins: 25μg per lane. Blocking buffer: 3% nonfat dry milk in TBST. Detection: ECL Basic Kit (AbGn00020). Exposure time: 60s.
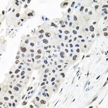
Immunohistochemistry analysis of paraffin-embedded Human lung cancer using CDCA8 Rabbit pAb (CAB12594) at dilution of 1:100 (40x lens). Microwave antigen retrieval performed with 0.01M PBS Buffer (pH 7.2) prior to IHC staining.