The CRYGN Polyclonal Antibody (PAC038878) is a valuable tool for research involving CRYGN, a protein that plays a role in eye development and function. This antibody, generated in rabbits, has been shown to exhibit high reactivity with human samples and is suitable for use in Western blot applications. By binding specifically to the CRYGN protein, this antibody enables accurate detection and analysis in a variety of cell types, making it an excellent choice for studies in ophthalmology and vision research.CRYGN is known for its involvement in the formation and maintenance of the lens in the eye, making it a key player in vision-related processes.
Research into CRYGN can provide valuable insights into the mechanisms underlying eye development and function, as well as potential implications for diseases affecting the eye. By studying CRYGN, researchers can gain a better understanding of conditions such as cataracts and other eye disorders, paving the way for the development of novel therapeutic approaches in the field of ophthalmology.
Antibody Name:
CRYGN Antibody (PACO38878)
Antibody SKU:
PACO38878
Size:
50ug
Host Species:
Rabbit
Tested Applications:
ELISA, IHC
Recommended Dilutions:
ELISA:1:2000-1:10000, IHC:1:20-1:200
Species Reactivity:
Human
Immunogen:
Recombinant Human Gamma-crystallin N protein (1-182AA)
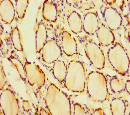
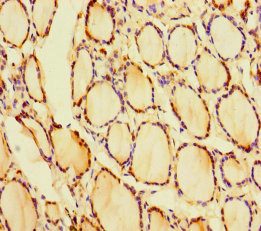
Immunohistochemistry of paraffin-embedded human thyroid tissue using PACO38878 at dilution of 1:100.
Synonyms:
Gamma-crystallin N (Gamma-N-crystallin), CRYGN
UniProt Protein Function:
CRYGN: The beta and gamma crystallins are evolutionarily related families of proteins that are localized to the refractive structure of the eye lens. The protein encoded by this gene is unique in that it has both beta and gamma crystallin protein motifs. [provided by RefSeq, Jul 2008]Chromosomal Location of Human Ortholog: 7q36.1
UniProt Protein Details:
NCBI Summary:
This gene encodes a member of the crystallin family of proteins that are localized to the refractive structure of vertebrate eye lenses. The protein encoded by this gene is unique in that it has both beta and gamma crystallin protein motifs. Alternative splicing of this gene results in multiple transcript variants. [provided by RefSeq, Apr 2015]