The Cytokeratin 14 (KRT14) Monoclonal Antibody (CAB19039) is a high-quality antibody developed for reliable detection and analysis of target proteins. This gene encodes a member of the keratin family, the most diverse group of intermediate filaments. This gene product, a type I keratin, is usually found as a heterotetramer with two keratin 5 molecules, a type II keratin. Together they form the cytoskeleton of epithelial cells. Mutations in the genes for these keratins are associated with epidermolysis bullosa simplex. At least one pseudogene has been identified at 17p12-p11. RRID AB_2862531 Gene ID 3861 Swiss Prot Synonym K14; NFJ; CK14; EBS1; EBS3; EBS4; EBS1A; EBS1B; EBS1C; EBS1D; Cytokeratin 14 (KRT14)
This antibody is validated for use in WB, IHC-P, ELISA applications and has demonstrated reactivity against Human, Mouse, Rat samples.
Product Name:
Cytokeratin 14 (KRT14) Monoclonal Antibody
SKU:
CAB19039
Size:
100μL, 20μL
Reactivity:
Human, Mouse, Rat
Clone Number:
ARC0351
Conjugate:
Unconjugated
Immunogen:
Recombinant protein (or fragment).This information is considered to be commercially sensitive.
Tested Applications:
WBIHC-PELISA
Recommended Dilution:
WB
1:1000 - 1:10000
IHC-P
1:200 - 1:800
ELISA
Recommended starting concentration is 1 μg/mL. Please optimize the concentration based on your specific assay requirements.
This gene encodes a member of the keratin family, the most diverse group of intermediate filaments. This gene product, a type I keratin, is usually found as a heterotetramer with two keratin 5 molecules, a type II keratin. Together they form the cytoskeleton of epithelial cells. Mutations in the genes for these keratins are associated with epidermolysis bullosa simplex. At least one pseudogene has been identified at 17p12-p11. RRID AB_2862531 Gene ID 3861 Swiss Prot Synonym K14; NFJ; CK14; EBS1; EBS3; EBS4; EBS1A; EBS1B; EBS1C; EBS1D; Cytokeratin 14 (KRT14)
Purification Method:
Affinity purification
Gene ID:
3861
RRID:
AB_2862531
Buffer Information:
Store at -20℃. Avoid freeze / thaw cycles. Buffer: PBS containing 50% glycerol and 0.05% BSA, preserved with proclin300 or sodium azide, pH 7.3.
Western blot analysis of lysates from HaCaT cells using Cytokeratin 14 (KRT14) Rabbit mAb (CAB19039) at 1:5000 dilution incubated at room temperature for 1.5 hours. Secondary antibody: HRP-conjugated Goat anti-Rabbit IgG (H+L) (AS014) at 1:10000 dilution. Lysates/proteins: 25 μg per lane. Blocking buffer: 3% nonfat dry milk in TBST. Detection: ECL Basic Kit (AbGn00020). Exposure time: 20s.
Western blot analysis of lysates from Rat skin using Cytokeratin 14 (KRT14) Rabbit mAb (CAB19039) at 1:1000 dilution incubated at room temperature for 1.5 hours. Secondary antibody: HRP-conjugated Goat anti-Rabbit IgG (H+L) (AS014) at 1:10000 dilution. Lysates/proteins: 25 μg per lane. Blocking buffer: 3% nonfat dry milk in TBST. Detection: ECL Basic Kit (AbGn00020). Exposure time: 90s.
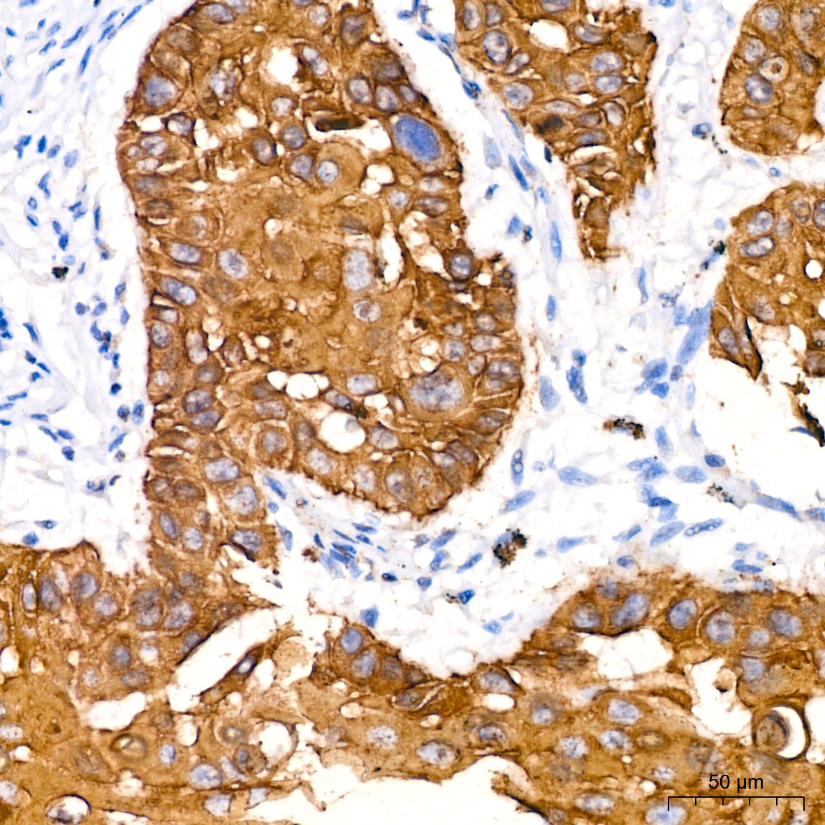
Immunohistochemistry analysis of paraffin-embedded Human lung squamous carcinoma tissue using Cytokeratin 14 (KRT14) Rabbit mAb (CAB19039) at dilution of 1:200 (40x lens). High pressure antigen retrieval performed with 0.01M Citrate buffer (pH 6.0) prior to IHC staining.
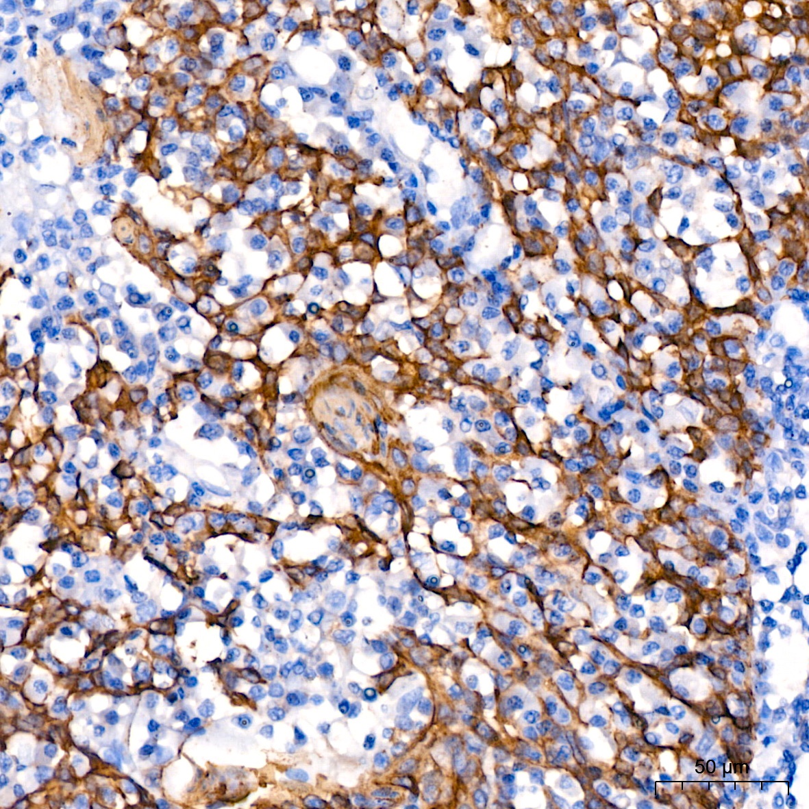
Immunohistochemistry analysis of paraffin-embedded Human tonsil using Cytokeratin 14 (KRT14) Rabbit mAb (CAB19039) at dilution of 1:200 (40x lens). High pressure antigen retrieval performed with 0.01M Citrate buffer (pH 6.0) prior to IHC staining.
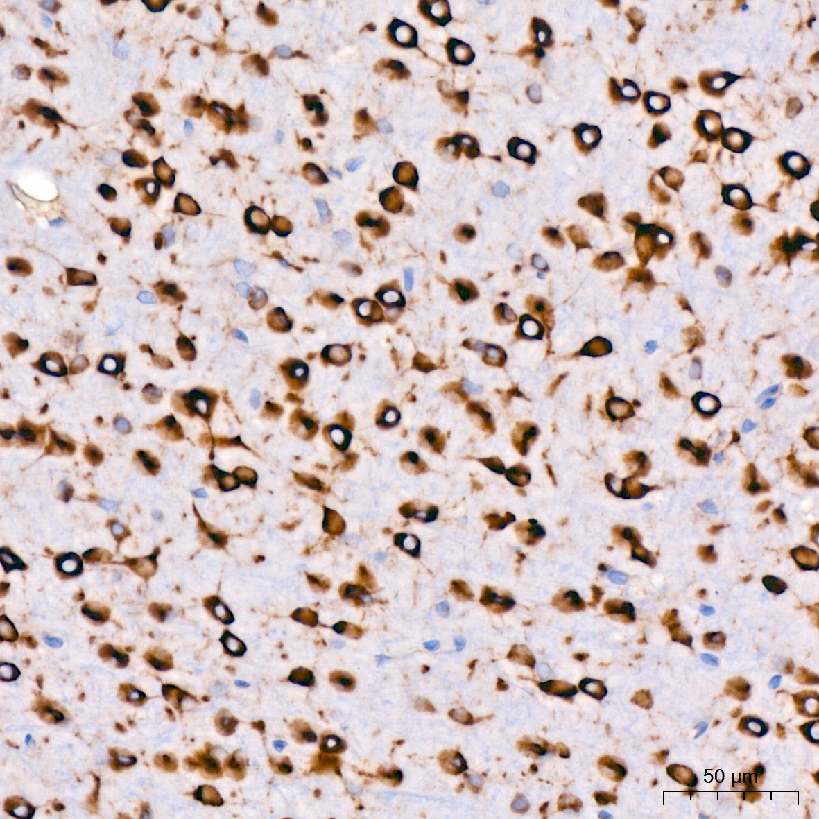
Immunohistochemistry analysis of paraffin-embedded Rat brain using Cytokeratin 14 (KRT14) Rabbit mAb (CAB19039) at dilution of 1:200 (40x lens). High pressure antigen retrieval performed with 0.01M Citrate buffer (pH 6.0) prior to IHC staining.