The DENND2D Polyclonal Antibody (PAC042182) is a crucial tool for researchers studying DENND2D, a protein involved in intracellular trafficking and vesicle transport. This antibody, produced in rabbits, shows high reactivity with human samples and has been validated for use in Western blot applications. By targeting the DENND2D protein, this antibody allows for sensitive detection and analysis in a variety of cell types, making it an essential resource for studies in cell biology and molecular biology.DENND2D is known to play a key role in regulating membrane trafficking and vesicle fusion processes within cells, making it a promising target for research in cellular physiology and disease mechanisms.
By understanding the function of DENND2D, researchers can gain insight into its involvement in various cellular processes and potentially uncover new therapeutic targets for conditions related to aberrant vesicle trafficking.Overall, the DENND2D Polyclonal Antibody is a valuable tool for researchers looking to investigate the role of DENND2D in cellular processes and its potential implications in disease development. Its high specificity and sensitivity make it an ideal choice for studies in cell biology, molecular biology, and related fields.
Western blot. All lanes: DENND2D antibody at 4µg/ml + MCF-7 whole cell lysate. Secondary. Goat polyclonal to rabbit IgG at 1/10000 dilution. Predicted band size: 54 kDa. Observed band size: 54 kDa.
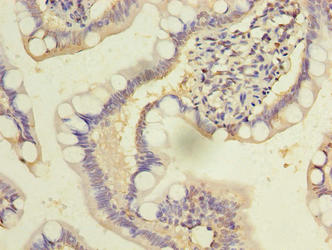
Immunohistochemistry of paraffin-embedded human small intestine tissue using PACO42182 at dilution of 1:100.
Background:
Guanine nucleotide exchange factor (GEF) which may activate RAB9A and RAB9B. Promotes the exchange of GDP to GTP, converting inactive GDP-bound Rab proteins into their active GTP-bound form.
Synonyms:
DENN domain-containing protein 2D, DENND2D
UniProt Protein Function:
DENND2D: a guanine nucleotide exchange factor (GEF) which may activate RAB9A and RAB9B. Promotes the exchange of GDP to GTP, converting inactive GDP-bound Rab proteins into their active GTP-bound form. In bronchial mucosa, mainly expressed in ciliated and basal epithelial cells and weakly in alveolar cells (at protein level). Tends to be down-regulated in lung cancers, immortalized bronchial epithelial cell lines and precancerous lesions. Two isoforms of the human protein are produced by alternative splicing.Protein type: GEFs; GEFs, RabChromosomal Location of Human Ortholog: 1p13.3Cellular Component: cytoplasmMolecular Function: protein binding; Rab guanyl-nucleotide exchange factor activityBiological Process: positive regulation of GTPase activity