DEPDC1B Antibody is a premium polyclonal that offers outstanding performance and reliability for demanding research applications. Rigorously validated for ELISA, WB, IHC, IF, this antibody ensures consistent, reproducible results across multiple experimental platforms. Demonstrates excellent reactivity with Human samples, providing researchers with confidence in cross-species compatibility. Conveniently packaged in 50ug format to meet your experimental needs. For optimal performance, store at -20°C or -80°C and maintains stability for 12 months. Backed by rigorous quality control testing to ensure superior performance in your critical research applications.
Product Name:
DEPDC1B Antibody (PACO53154)
SKU:
PACO53154
Size:
50μg
Isotype:
IgG
Host Species:
Rabbit
Reactivity:
Human
Immunogen:
Recombinant Human DEP domain-containing protein 1B protein (343-529AA)
Immunogen Species:
Homo sapiens (Human)
Uniprot No:
Q8WUY9
Form:
Liquid
Tested Applications:
ELISAWBIHCIF
Recommended Dilution:
WB 1:500-1:5000, IHC 1:20-1:200, IF 1:50-1:200
Synonyms:
DEPDC1B antibody, XTP8 antibody, DEP domain-containing protein 1B antibody, HBV X-transactivated gene 8 protein antibody, HBV XAg-transactivated protein 8 antibody
Western Blot Positive WB detected in: HEK293 whole cell lysate All lanes: DEPDC1B antibody at 4µg/ml Secondary Goat polyclonal to rabbit IgG at 1/50000 dilution Predicted band size: 62, 55 kDa Observed band size: 62 kDa
Immunohistochemistry of paraffin-embedded human testis tissue using PACO53154 at dilution of 1:100
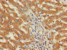
Immunohistochemistry of paraffin-embedded human liver cancer using PACO53154 at dilution of 1:100
Immunofluorescent analysis of HepG2 cells using PACO53154 at dilution of 1:100 and Alexa Fluor 488-congugated AffiniPure Goat Anti-Rabbit IgG(H+L)