The DHX34 Antibody (PAC058160) is a highly specific and sensitive tool designed for the detection of DHX34, a DEAH-box helicase protein involved in RNA metabolism and processing. This polyclonal antibody, produced in rabbits, exhibits strong reactivity with human samples and has been validated for use in various research applications, including Western blotting.DHX34 is a key player in RNA metabolism, playing a crucial role in RNA splicing, translation, and stability. Dysregulation of DHX34 has been implicated in various diseases, including cancer and neurological disorders.
By targeting DHX34 with this antibody, researchers can investigate its function and regulation in different cell types, providing valuable insights into its role in gene expression and RNA processing.With its high specificity and sensitivity, the DHX34 Antibody (PAC058160) is an essential tool for studying RNA metabolism and exploring the therapeutic potential of targeting DHX34 in diseases. Its reliable performance in research applications makes it ideal for investigations in molecular biology, genetics, and drug discovery.
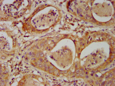
IHC image of PACO58160 diluted at 1:500 and staining in paraffin-embedded human cervical cancer performed on a Leica BondTM system. After dewaxing and hydration, antigen retrieval was mediated by high pressure in a citrate buffer (pH 6.0). Section was blocked with 10% normal goat serum 30min at RT. Then primary antibody (1% BSA) was incubated at 4°C overnight. The primary is detected by a biotinylated secondary antibody and visualized using an HRP conjugated SP system.
Immunofluorescence staining of A549 cells with PACO58160 at 1:166, counter-stained with DAPI. The cells were fixed in 4% formaldehyde, permeabilized using 0.2% Triton X-100 and blocked in 10% normal Goat Serum. The cells were then incubated with the antibody overnight at 4°C. The secondary antibody was Alexa Fluor 488-congugated AffiniPure Goat Anti-Rabbit IgG(H+L).
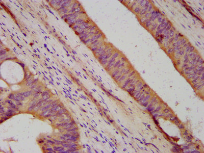
IHC image of PACO58160 diluted at 1:500 and staining in paraffin-embedded human colon cancer performed on a Leica BondTM system. After dewaxing and hydration, antigen retrieval was mediated by high pressure in a citrate buffer (pH 6.0). Section was blocked with 10% normal goat serum 30min at RT. Then primary antibody (1% BSA) was incubated at 4°C overnight. The primary is detected by a biotinylated secondary antibody and visualized using an HRP conjugated SP system.
DHX34: Probable ATP-binding RNA helicase. Belongs to the DEAD box helicase family. DEAH subfamily.Protein type: Helicase; EC 3.6.4.13Chromosomal Location of Human Ortholog: 19q13.3Cellular Component: membrane; cytoplasm; nucleusMolecular Function: ATP-dependent RNA helicase activity; ATP bindingBiological Process: RNA processing
UniProt Protein Details:
NCBI Summary:
DEAD box proteins, characterized by the conserved motif Asp-Glu-Ala-Asp (DEAD), are putative RNA helicases. They are implicated in a number of cellular processes involving alteration of RNA secondary structure such as translation initiation, nuclear and mitochondrial splicing, and ribosome and spliceosome assembly. Based on their distribution patterns, some members of this DEAD box protein family are believed to be involved in embryogenesis, spermatogenesis, and cellular growth and division. This gene encodes a member of this family. It is mapped to the glioma 19q tumor suppressor region and is a tumor suppressor candidate gene. [provided by RefSeq, Jul 2008]