The DYNC2LI1 Antibody (CAB4752) is a high-quality antibody developed for reliable detection and analysis of target proteins. This gene encodes a protein that is a component of the dynein-2 microtubule motor protein complex that plays a role in the retrograde transport of cargo in primary cilia via the intraflagellar transport system. This gene is ubiquitously expressed and its protein, which localizes to the axoneme and Golgi apparatus, interacts directly with the cytoplasmic dynein 2 heavy chain 1 protein to form part of the multi-protein dynein-2 complex. Mutations in this gene produce defects in the dynein-2 complex which result in several types of ciliopathy including short-rib thoracic dysplasia 15 with polydactyly (SRTD15). Alternative splicing results in multiple transcript variants encoding distinct isoforms.
This antibody is validated for use in WB, ELISA applications and has demonstrated reactivity against Human, Mouse, Rat samples.
Product Name:
DYNC2LI1 Antibody
SKU:
CAB4752
Size:
100μL, 20μL
Reactivity:
Human, Mouse, Rat
Conjugate:
Unconjugated
Immunogen:
Recombinant protein (or fragment).This information is considered to be commercially sensitive.
Tested Applications:
WBELISA
Recommended Dilution:
WB
1:500 - 1:2000
ELISA
Recommended starting concentration is 1 μg/mL. Please optimize the concentration based on your specific assay requirements.
This gene encodes a protein that is a component of the dynein-2 microtubule motor protein complex that plays a role in the retrograde transport of cargo in primary cilia via the intraflagellar transport system. This gene is ubiquitously expressed and its protein, which localizes to the axoneme and Golgi apparatus, interacts directly with the cytoplasmic dynein 2 heavy chain 1 protein to form part of the multi-protein dynein-2 complex. Mutations in this gene produce defects in the dynein-2 complex which result in several types of ciliopathy including short-rib thoracic dysplasia 15 with polydactyly (SRTD15). Alternative splicing results in multiple transcript variants encoding distinct isoforms.
Purification Method
Affinity purification
Gene ID
51626
RRID
AB_2765848
Buffer Information
Store at -20℃. Avoid freeze / thaw cycles. Buffer: PBS containing 50% glycerol, preserved with proclin300 or sodium azide, pH 7.3.
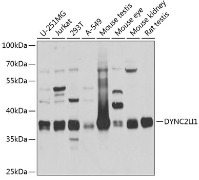
Western blot analysis of various lysates using DYNC2LI1 Rabbit pAb (CAB4752) at 1:1000 dilution. Secondary antibody: HRP-conjugated Goat anti-Rabbit IgG (H+L) (AS014) at 1:10000 dilution. Lysates/proteins: 25μg per lane. Blocking buffer: 3% nonfat dry milk in TBST. Detection: ECL Basic Kit (AbGn00020). Exposure time: 5s.