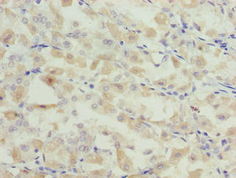
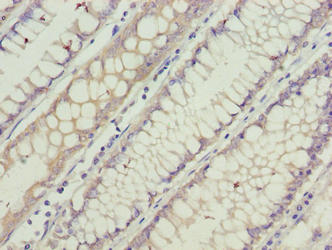
GCSAML Antibody is a premium polyclonal that offers outstanding performance and reliability for demanding research applications. Rigorously validated for ELISA, IHC, this antibody ensures consistent, reproducible results across multiple experimental platforms. Demonstrates excellent reactivity with Human samples, providing researchers with confidence in cross-species compatibility. Conveniently packaged in 50ug format to meet your experimental needs. For optimal performance, store at -20°C or -80°C and maintains stability for 12 months. Backed by rigorous quality control testing to ensure superior performance in your critical research applications.
Product Name:
GCSAML Antibody (PACO36182)
SKU:
PACO36182
Size:
50μg
Isotype:
IgG
Host Species:
Rabbit
Reactivity:
Human
Immunogen:
Recombinant Human Germinal center-associated signaling and motility-like protein (1-135AA)
Immunogen Species:
Homo sapiens (Human)
Uniprot No:
Q5JQS6
Form:
Liquid
Tested Applications:
ELISAIHC
Recommended Dilution:
IHC 1:20-1:200
Synonyms:
GCSAML antibody, C1orf150 antibody, Germinal center-associated signaling and motility-like protein antibody