GLIPR2 Antibody is a premium polyclonal that offers outstanding performance and reliability for demanding research applications. Rigorously validated for ELISA, IHC, this antibody ensures consistent, reproducible results across multiple experimental platforms. Demonstrates excellent reactivity with Human samples, providing researchers with confidence in cross-species compatibility. Conveniently packaged in 50ug format to meet your experimental needs. For optimal performance, store at -20°C or -80°C and maintains stability for 12 months. Backed by rigorous quality control testing to ensure superior performance in your critical research applications.
Product Name:
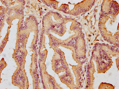
GLIPR2 Antibody (PACO41626)
SKU:
PACO41626
Size:
50μg
Isotype:
IgG
Host Species:
Rabbit
Reactivity:
Human
Immunogen:
Recombinant Human Golgi-associated plant pathogenesis-related protein 1 protein (2-85AA)
Immunogen Species:
Homo sapiens (Human)
Uniprot No:
Q9H4G4
Form:
Liquid
Tested Applications:
ELISAIHC
Recommended Dilution:
IHC 1:500-1:1000
Synonyms:
5730414A08Rik antibody, C77180 antibody, C9orf19 antibody, GAPR 1 antibody, GAPR-1 antibody, GAPR1_HUMAN antibody, GLI pathogenesis related 2 antibody, Glioma pathogenesis related protein 2 antibody, Glioma pathogenesis-related protein 2 antibody, GliPR 2 antibody, GLIPR2 antibody, Golgi associated plant pathogenesis related protein 1 antibody, Golgi associated PR 1 protein antibody, Golgi-associated plant pathogenesis-related protein 1 antibody, Golgi-associated PR-1 protein antibody, OTTMUSP00000007558 antibody, RP11-421H8.5 antibody, RP23-209M8.2 antibody
IHC image of PACO41626 diluted at 1:600 and staining in paraffin-embedded human prostate tissue performed on a Leica BondTM system. After dewaxing and hydration, antigen retrieval was mediated by high pressure in a citrate buffer (pH 6.0). Section was blocked with 10% normal goat serum 30min at RT. Then primary antibody (1% BSA) was incubated at 4°C overnight. The primary is detected by a biotinylated secondary antibody and visualized using an HRP conjugated SP system.